公司新闻

【形态学病例分享】第一百二十八期

患者基本信息:

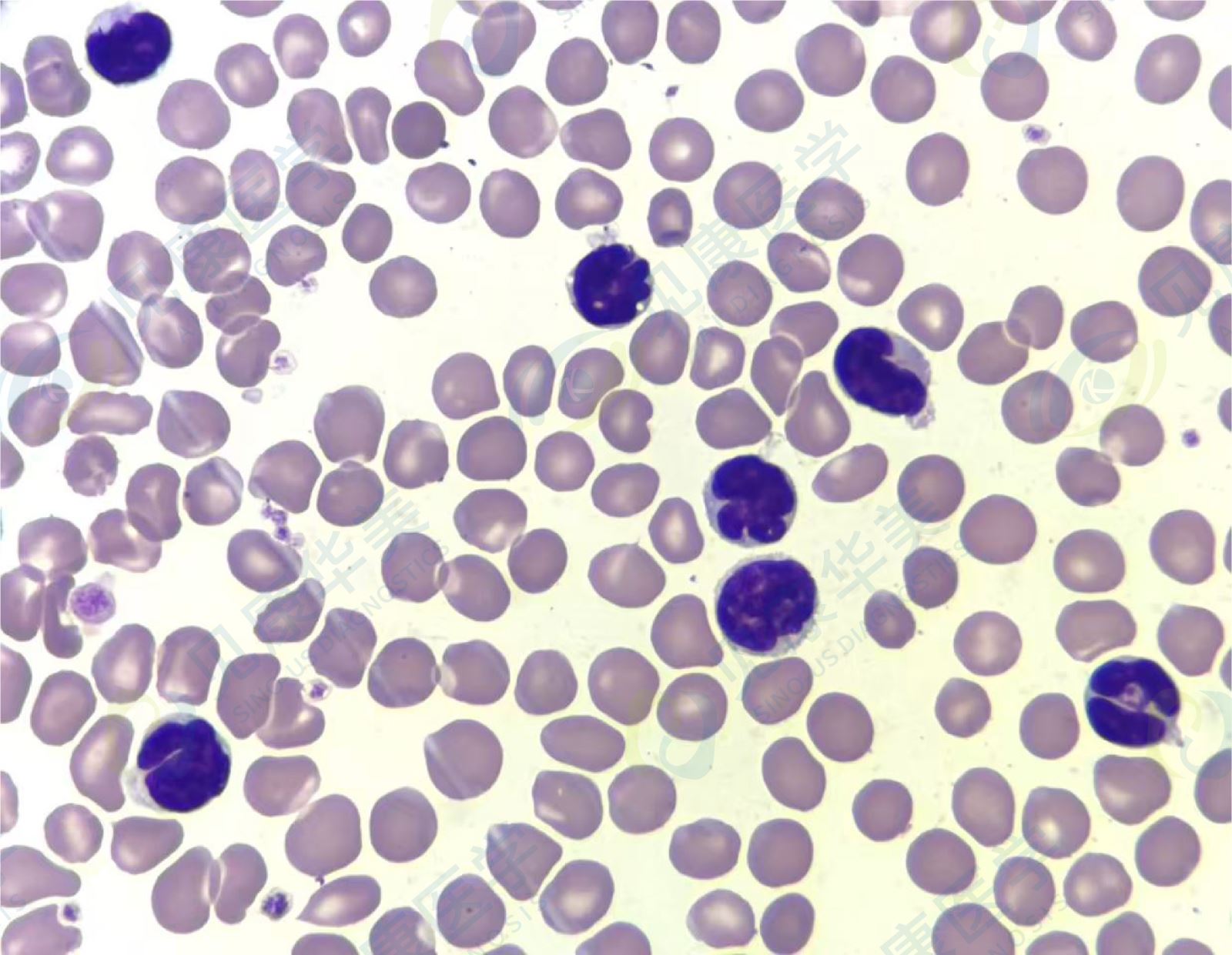
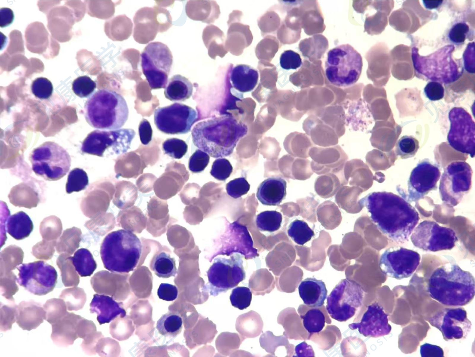
女,59岁,复查,白细胞增多1天,脾大、淋巴结肿大。

血常规:

WBC  177×109 /L

RBC  4.26×1012 /L

HB     125 g/L  

PLT    213×109 /L

 

 

骨髓涂片

 

 

 

 

外周血涂片

 

 

 

流式细胞学

 

 

 

 

病理活检

 

 

 

 

染色体核型

 

 

 

 

诊断结果

 

成人T细胞白血病复查,未缓解。

 

 

 

 

 

 

 

作者:田欣、侯晓巨、李慧兰、杨少斌