公司新闻

【形态学病例分享】第一百二十七期

患者基本信息:

女,36岁,全血少待查。

血常规:

WBC  2.5×109 /L

HB     90 g/L  

PLT    3×109 /L

 

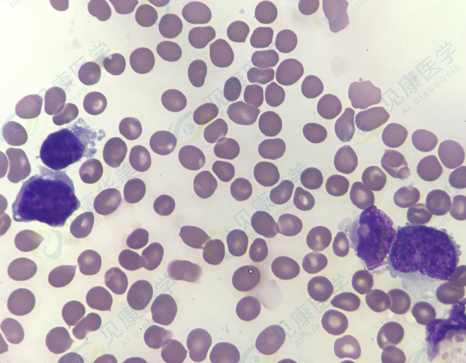
骨髓涂片 

 

 

 

 

 

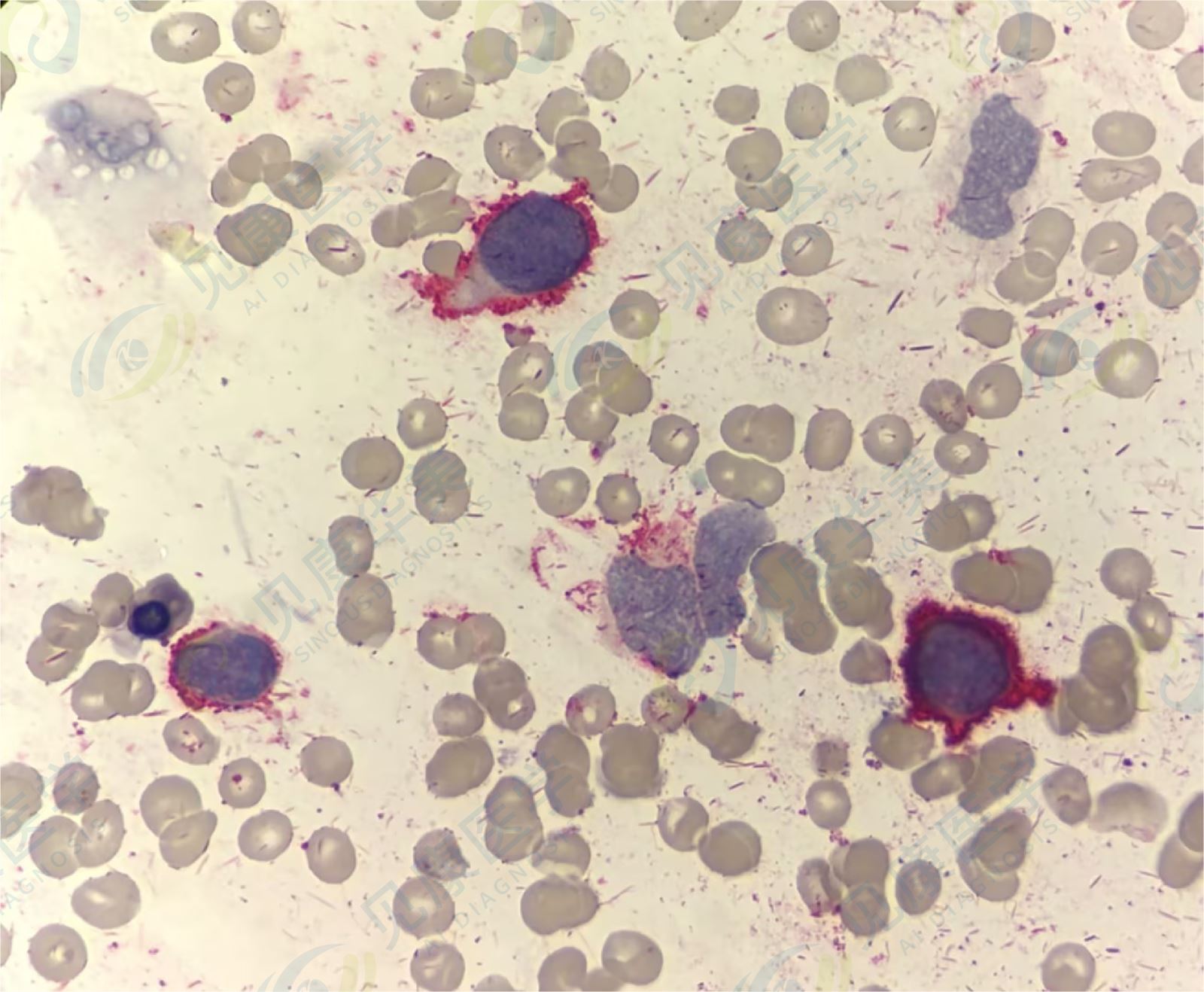
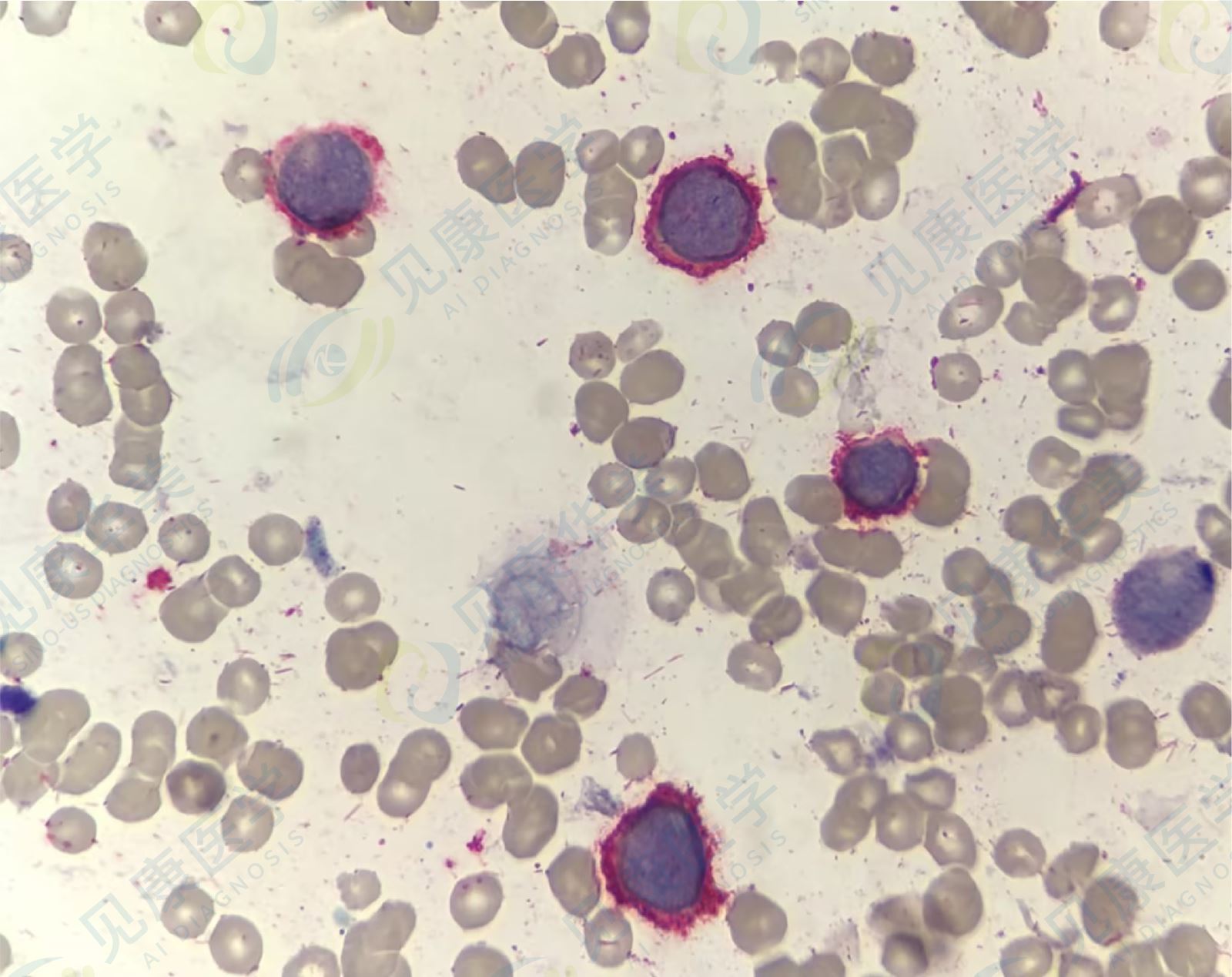
巨核酶标CD41

 

 

 

 

 

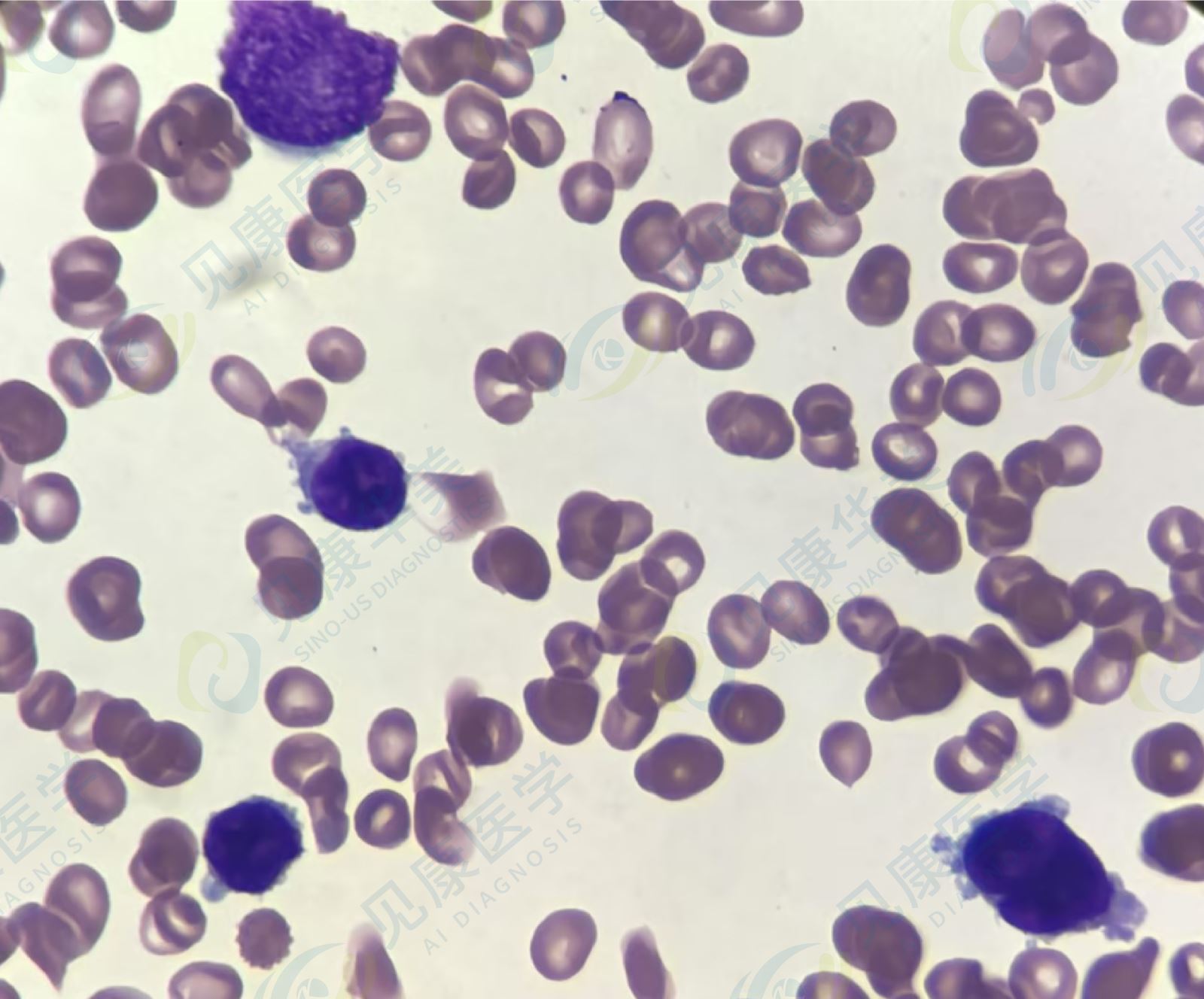
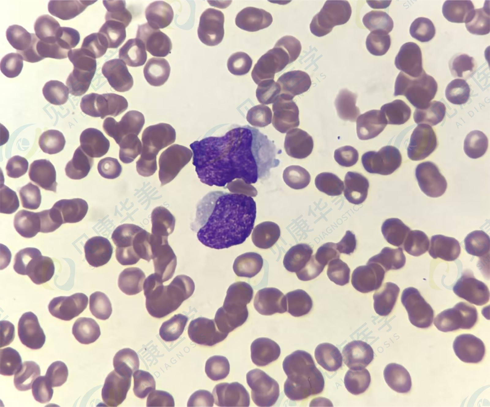
细胞形态学

 

 

 

流式细胞学

 

 

 

诊断结果

 

 

AML-M7

 

 

 

 

 

 

 

作者:田欣、王占龙、张旭