公司新闻

【形态学病例分享】第一百二十四期

患者基本信息:

男,51岁,发热4天,憋喘1天入院,胸骨压痛。

血常规:

WBC  164×109 /L

HB     84g/L  

PLT    31×109 /L

 

 

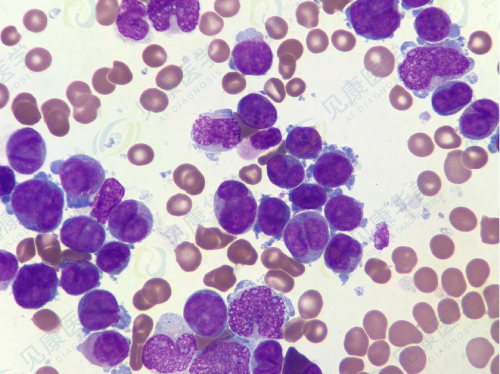
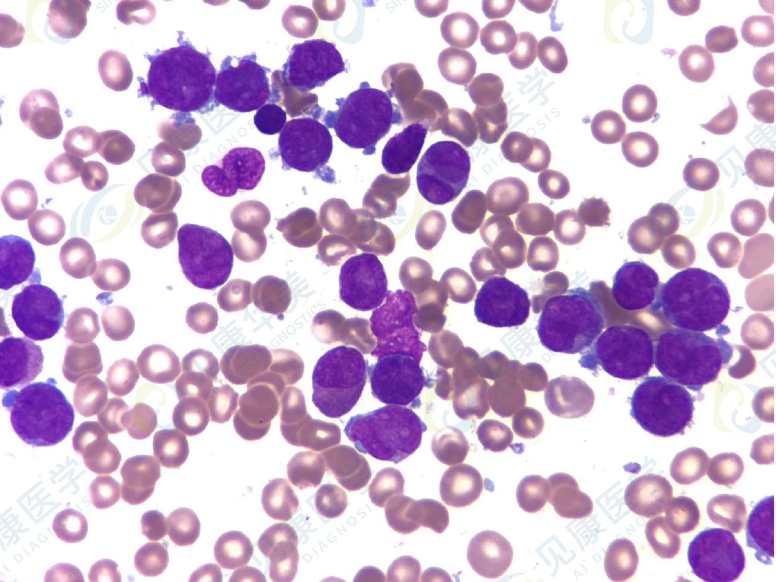
 骨髓涂片 

 

  

 

 

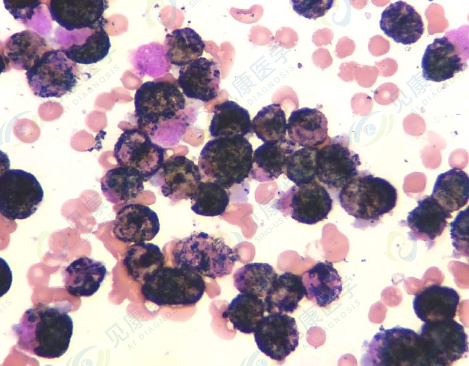
 MPO染色 

 

 

 流式细胞学 

 

 

 融合基因 

 

诊断结果

 

 

 

AML-M3

 

 

 

 

 

 

 

 

 

 

作者:田欣、王占龙、侯小巨、蔺亚妮