关于见康华美
见康华美介绍
见康华美文化
实验室介绍
资质荣誉
科研成果
新闻中心
公司新闻
视频新闻
学术活动
学术科普
检测项目
送检须知
项目查询
人力资源
员工风采
员工发展
福利待遇
招聘平台
联系我们
联系方式
业务范围
服务中心
科普知识
下载中心
检测咨询
公司新闻
【形态学病例分享】第五十一期
患者基本信息:
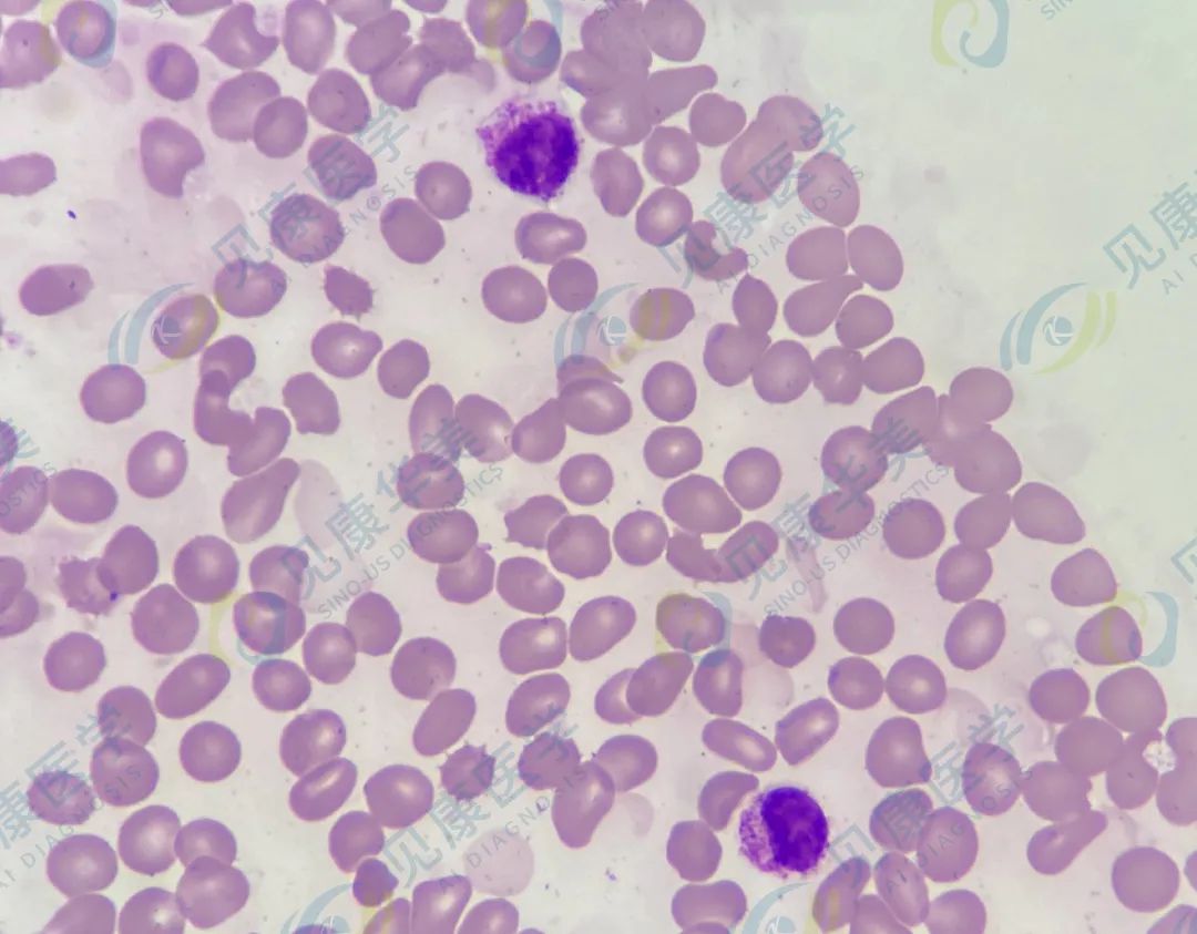
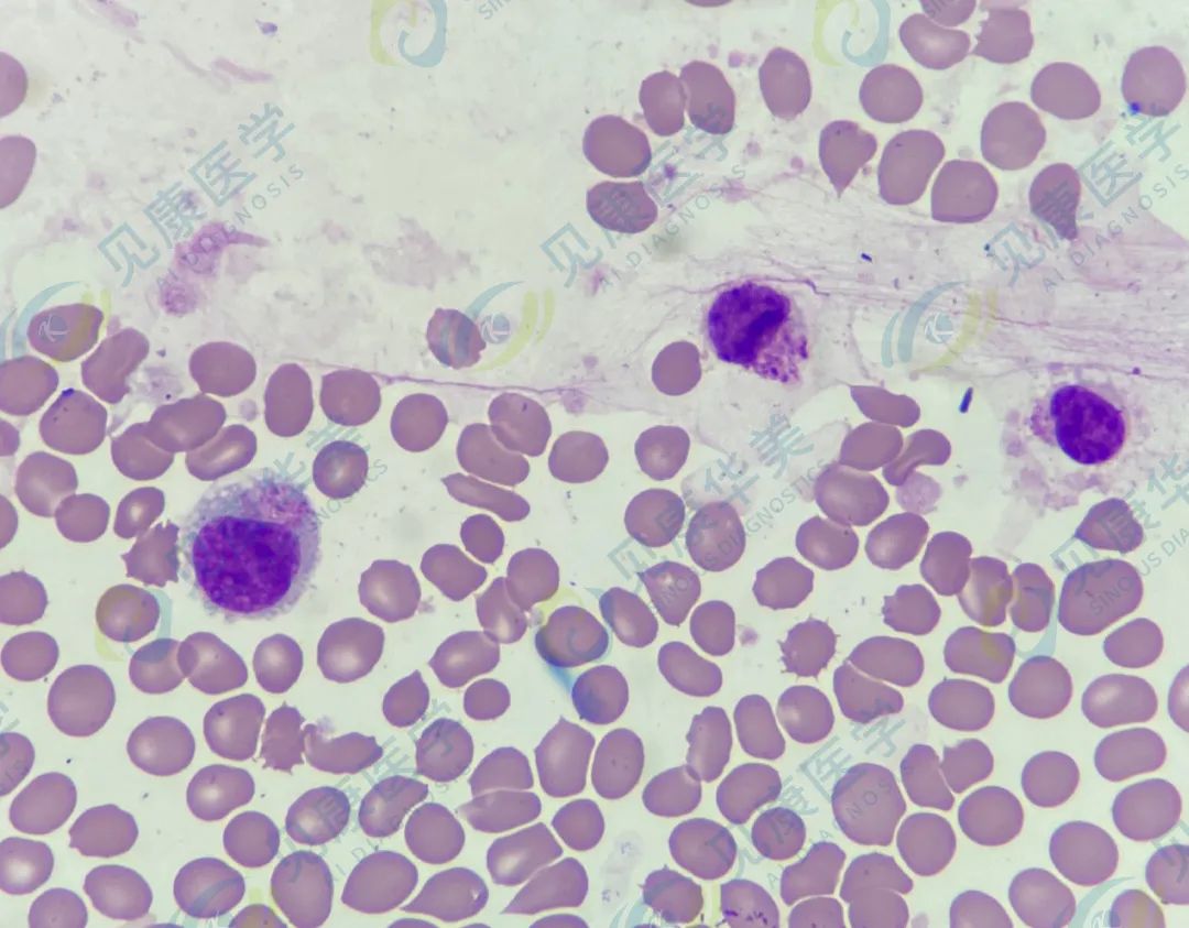
女,53岁, CML复查,血象未提供。
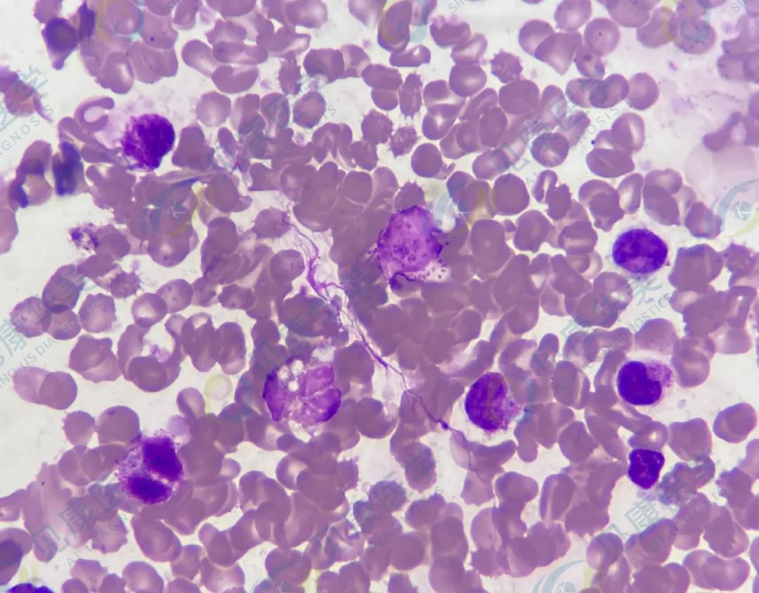
形态涂片
骨髓中该类细胞约73%
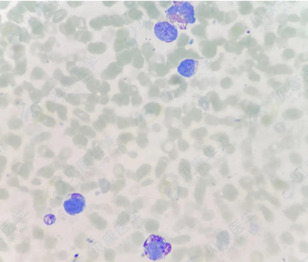
CE
CE染色:阴性
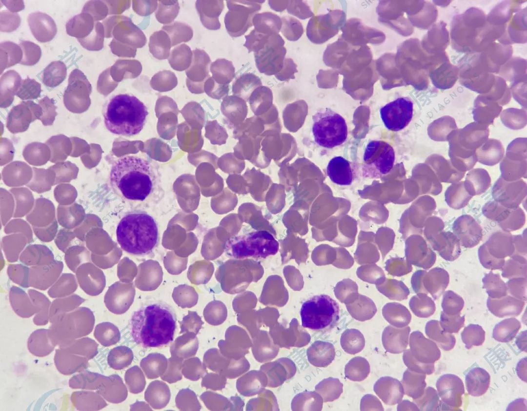
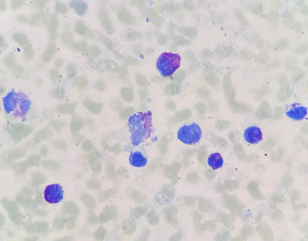
甲苯胺蓝
甲苯胺蓝染色:阳性
流式
融合基因
诊断结果
CML急变(急性嗜碱粒细胞白血病)
作者:
田欣、王占龙、陈雪晶、蔺亚妮
见康华美原创文章未经授权不得转载,如需转载请联系jingyuliu@sino-us-diagnostics.com