关于见康华美
见康华美介绍
见康华美文化
实验室介绍
资质荣誉
科研成果
新闻中心
公司新闻
视频新闻
学术活动
学术科普
检测项目
送检须知
项目查询
人力资源
员工风采
员工发展
福利待遇
招聘平台
联系我们
联系方式
业务范围
服务中心
科普知识
下载中心
检测咨询
公司新闻
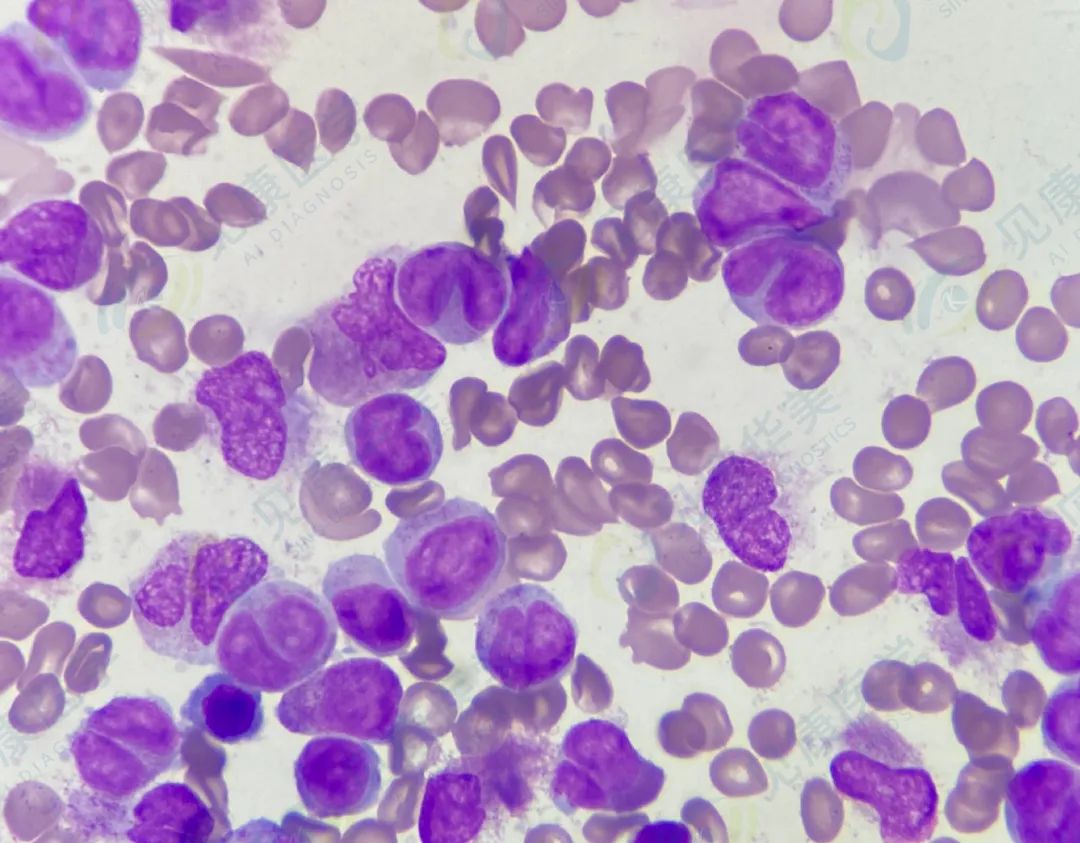
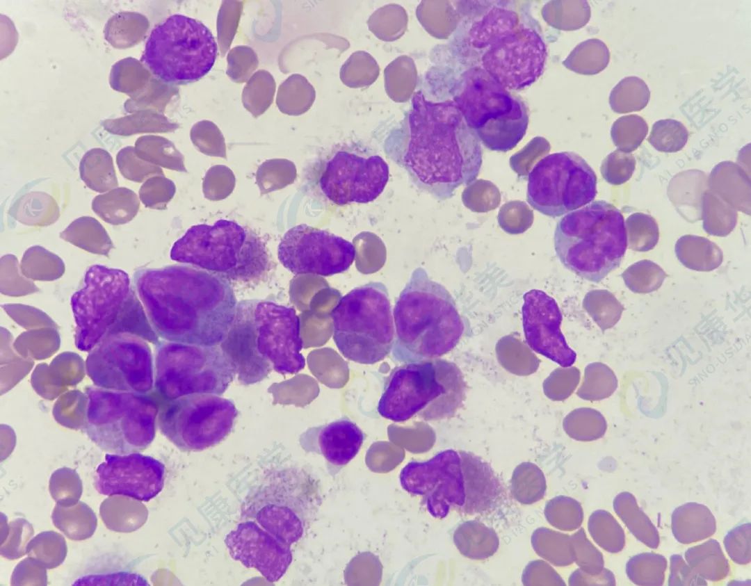
【形态学病例分享】第四十九期
患者基本信息:
女,27岁, 牙龈肿胀伴皮肤瘀斑1周。
血常规:
WBC 53.71×
10
9
/L
RBC 2.7×
10
12
/L
HB 93g/L
plt 55×
10
9
/L
形态涂片
融合基因
染色体核型
诊断结果
AML-M3
作者:
田欣 蔺亚妮 杨少斌
见康华美原创文章未经授权不得转载,如需转载请联系jingyuliu@sino-us-diagnostics.com