公司新闻

【形态学病例分享】第四十三期

患者基本信息:
男, 87岁, 乏力、纳差1月余, 肝、脾、淋巴结不大。
 
血常规:
WBC   3.0×109 /L
      RBC    3.1×1012  /L  
HB       93g/L 
    PLT      64×109  /L
 
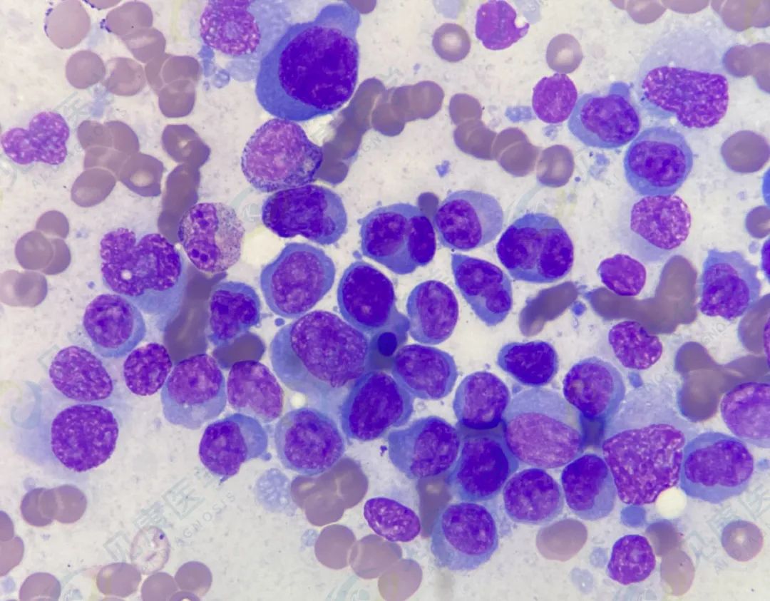
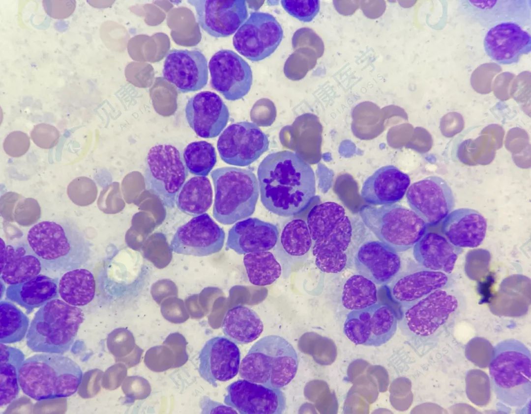
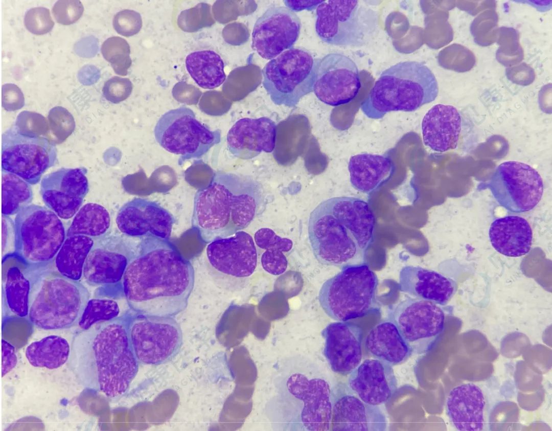
形态涂片 
 
 
 
 
该类细胞骨髓涂片中约99%,外周血涂片中约5%。
 
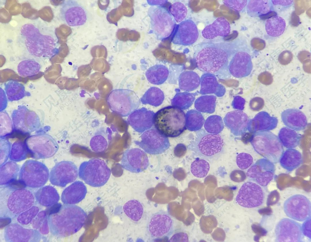
MPO图 
 
 
流式细胞学 
 
 
诊断结果
 
浆细胞肿瘤,考虑为多发性骨髓瘤,建议结合免疫固定电泳、骨髓流式细胞学、影像学、生化(肾功、血钙)等检查进一步明确。
 
 
 
作者:田欣 陈雪晶 
 
见康华美原创文章未经授权不得转载,如需转载请联系jingyuliu@sino-us-diagnostics.com