关于见康华美
见康华美介绍
见康华美文化
实验室介绍
资质荣誉
科研成果
新闻中心
公司新闻
视频新闻
学术活动
学术科普
检测项目
送检须知
项目查询
人力资源
员工风采
员工发展
福利待遇
招聘平台
联系我们
联系方式
业务范围
服务中心
科普知识
下载中心
检测咨询
公司新闻
【形态学病例分享】第四十期
患者基本信息:
男,79岁。
血常规:
WBC 4.73×
10
9
/L
RBC 2.38×
10
12
/L
HB 71 g/L
PLT 78×
10
9
/L
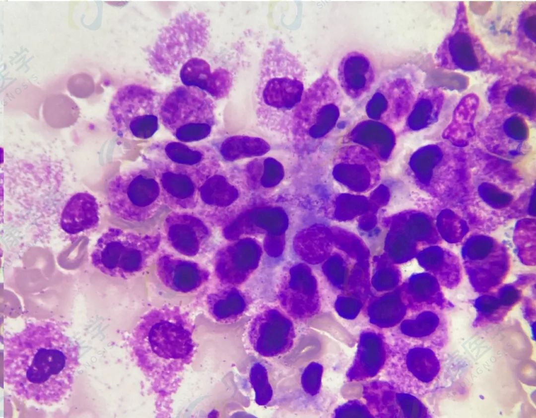
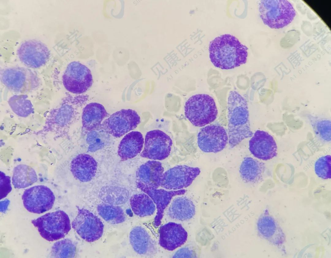
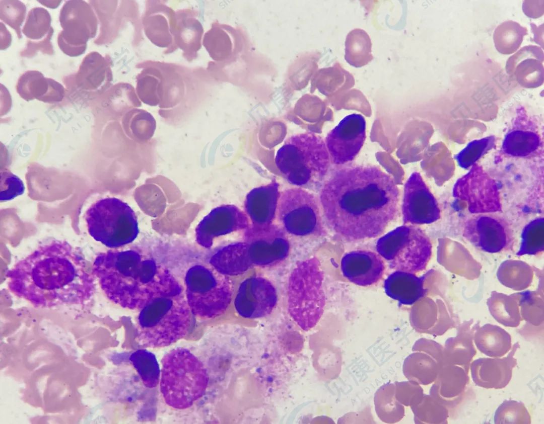
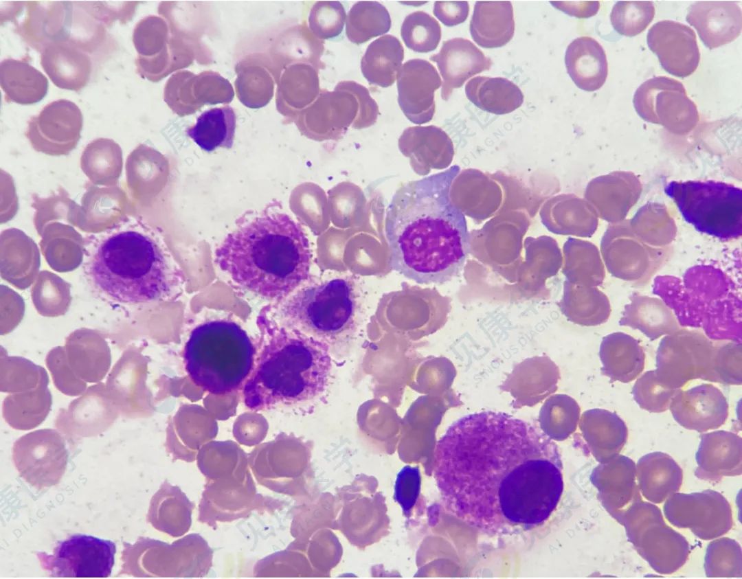
骨髓涂片
上述为骨髓涂片,外周血涂片该类细胞约1%
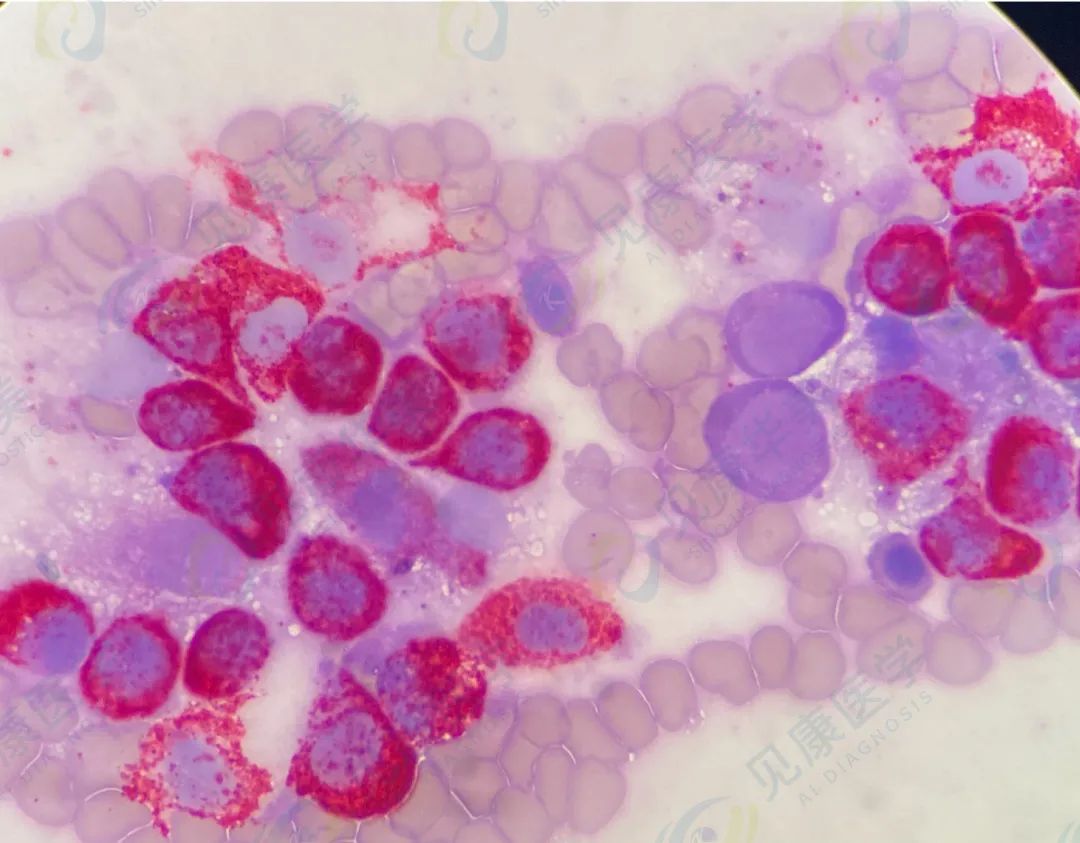
细胞化学
CE
甲苯胺蓝
流式细胞学
C-KIT
病理
诊断结果
非白血性肥大细胞白血病
作者:
田欣 王占龙 陈雪晶 陈龙 李慧兰
见康华美原创文章未经授权不得转载,如需转载请联系jingyuliu@sino-us-diagnostics.com