关于见康华美
见康华美介绍
见康华美文化
实验室介绍
资质荣誉
科研成果
新闻中心
公司新闻
视频新闻
学术活动
学术科普
检测项目
送检须知
项目查询
人力资源
员工风采
员工发展
福利待遇
招聘平台
联系我们
联系方式
业务范围
服务中心
科普知识
下载中心
检测咨询
公司新闻
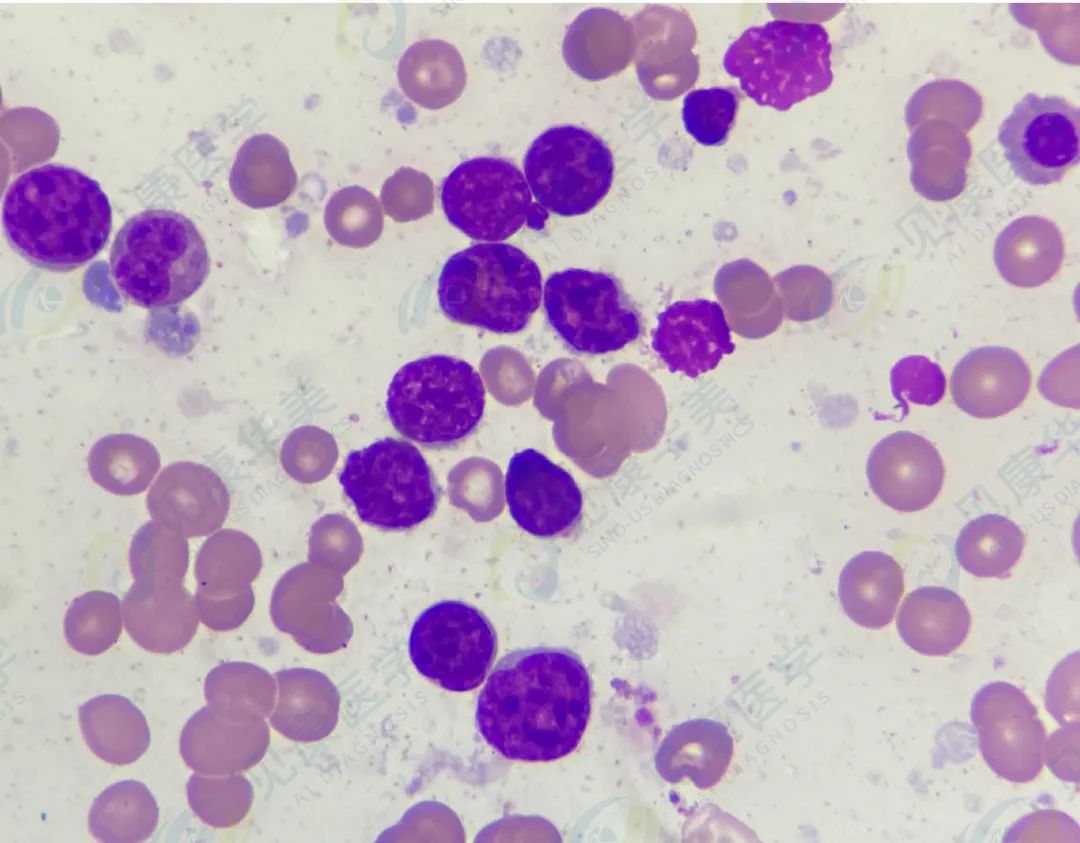
【形态学病例分享】第三十八期
患者基本信息
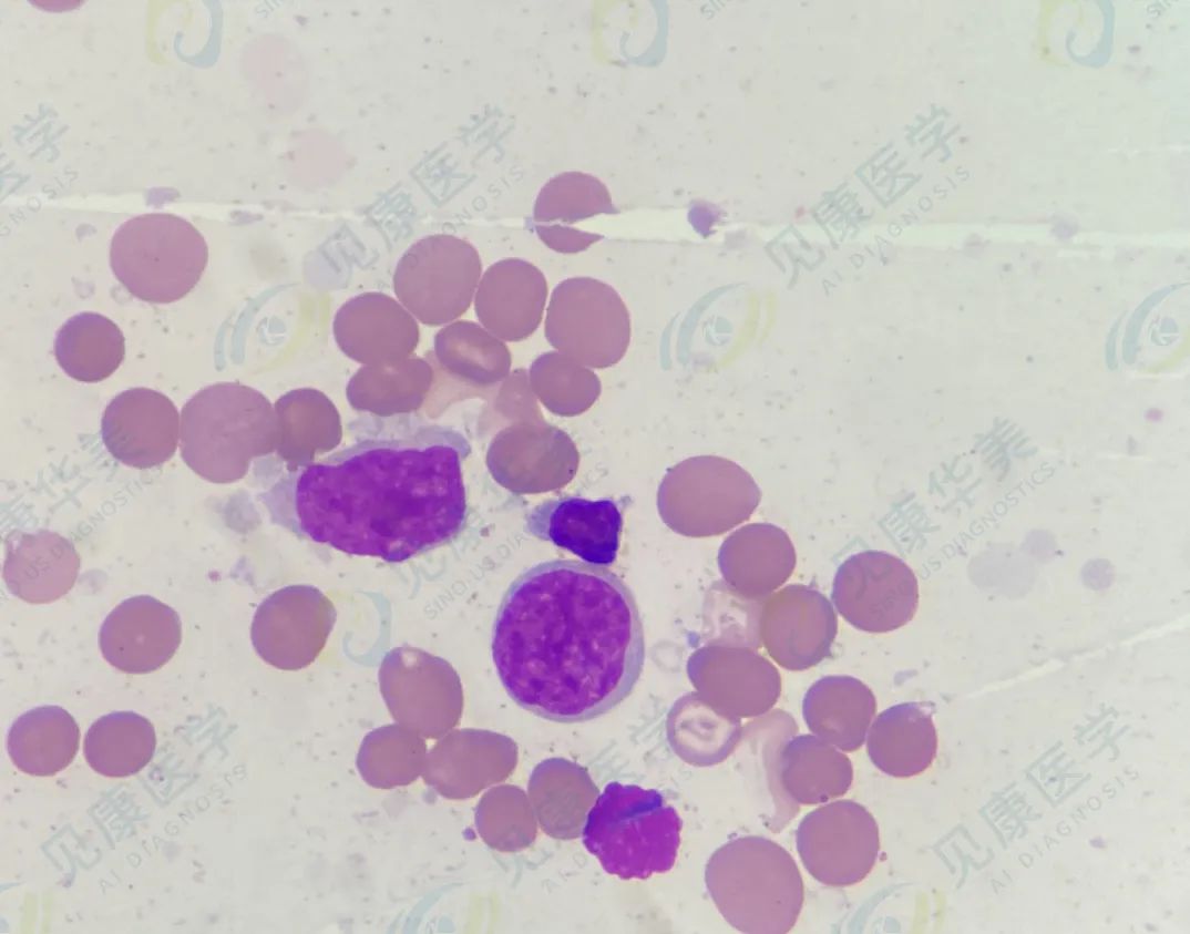
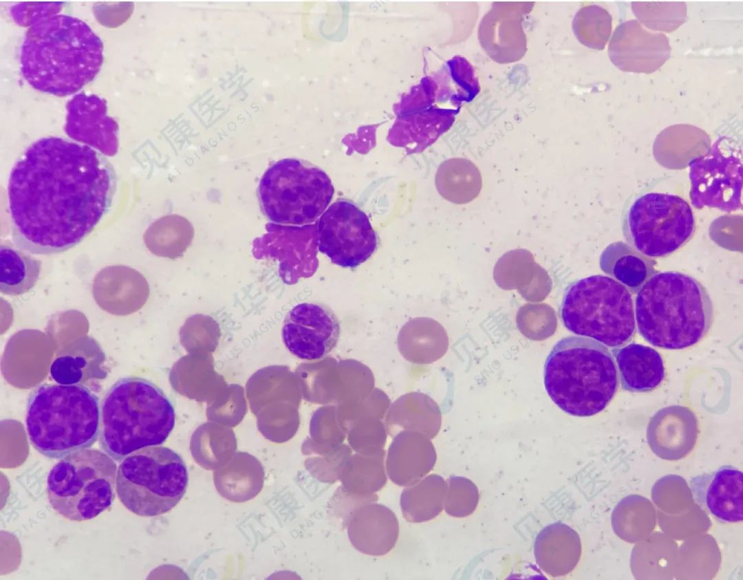
男,69岁,乏力3月,脾脏、淋巴结肿大。
血常规:
WBC 9.8×
10
9
/L
RBC 0.92×
10
12
/L
HB 33g/L
PLT 38×
10
9
/L
MCV 122fL
形态涂片
流式细胞学
病理活检
诊断结果
淋巴瘤
(CD5+大B细胞淋巴瘤)
作者:
田欣 陈雪晶
张静芳
见康华美原创文章未经授权不得转载,如需转载请联系jingyuliu@sino-us-diagnostics.com
淋巴瘤
(CD5+大B细胞淋巴瘤