关于见康华美
见康华美介绍
见康华美文化
实验室介绍
资质荣誉
科研成果
新闻中心
公司新闻
视频新闻
学术活动
学术科普
检测项目
送检须知
项目查询
人力资源
员工风采
员工发展
福利待遇
招聘平台
联系我们
联系方式
业务范围
服务中心
科普知识
下载中心
检测咨询
公司新闻
【形态学病例分享】第三十五期
患者基本信息:
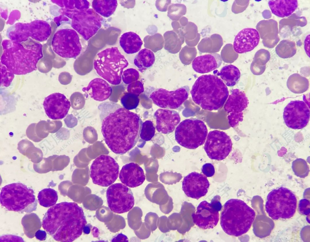
男,70岁, 间断上腹疼痛伴不思饮食40余天,加重1天。
血常规:
WBC 167.41×
10
9
/L
RBC 3.11×
10
12
/L
HB 88 g/L
PLT 103×
10
9
/L
MCV 92fL
形态涂片
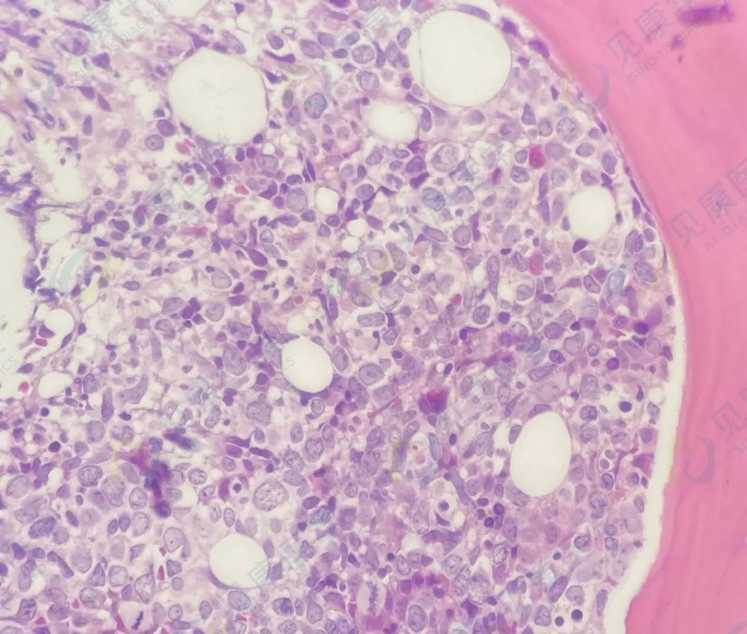
病理
HE染色 400倍
流式
FISH
诊断结果
淋巴瘤
(套细胞淋巴瘤变型:多形性)
作者:
田欣 张静芳 陈雪晶 杨少斌
见康华美原创文章未经授权不得转载,如需转载请联系jingyuliu@sino-us-diagnostics.com
淋巴瘤
(套细胞淋巴瘤变型:多形性)