公司新闻

【形态学病例分享】第三十三期

患者基本信息:
男,56岁, 发热,最高39.6℃。
 
血常规:
     WBC   49.06 ×109 /L
        RBC    3.74×1012  /L  
HB      132 g/L
      PLT     39.0×109 /L 
 
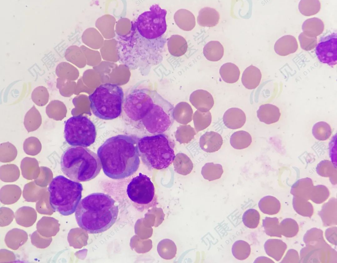
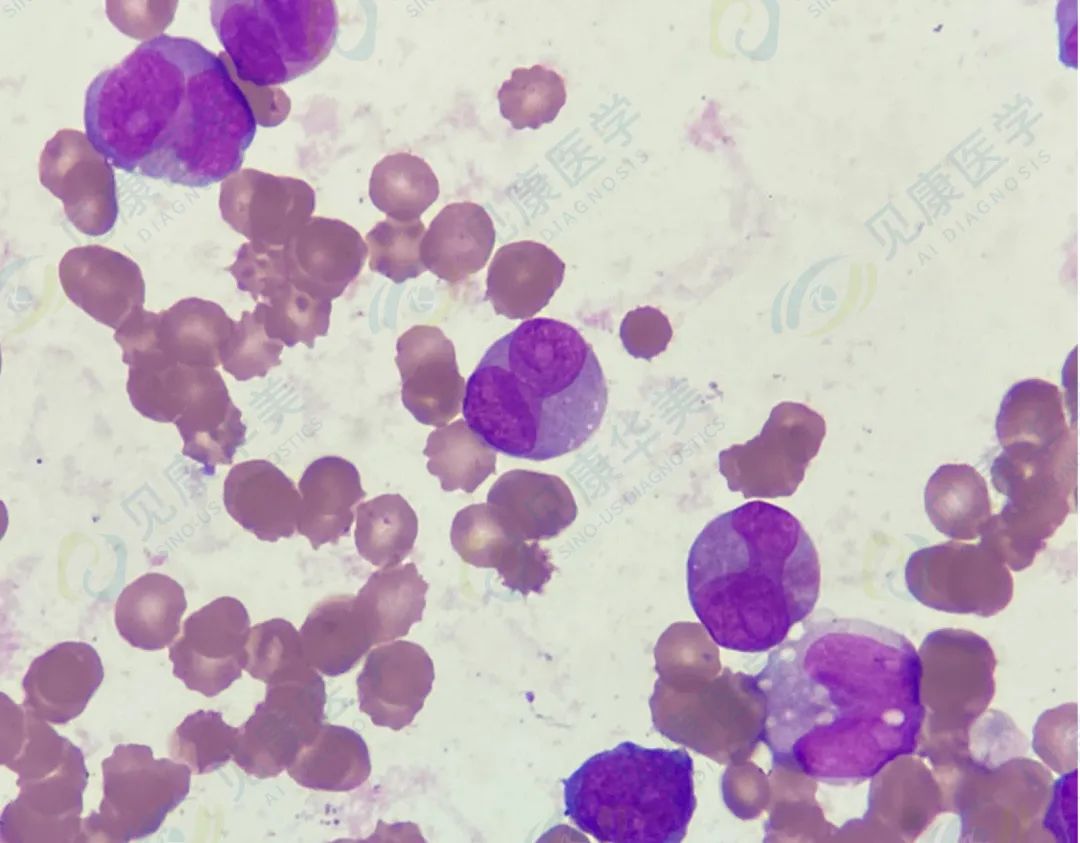
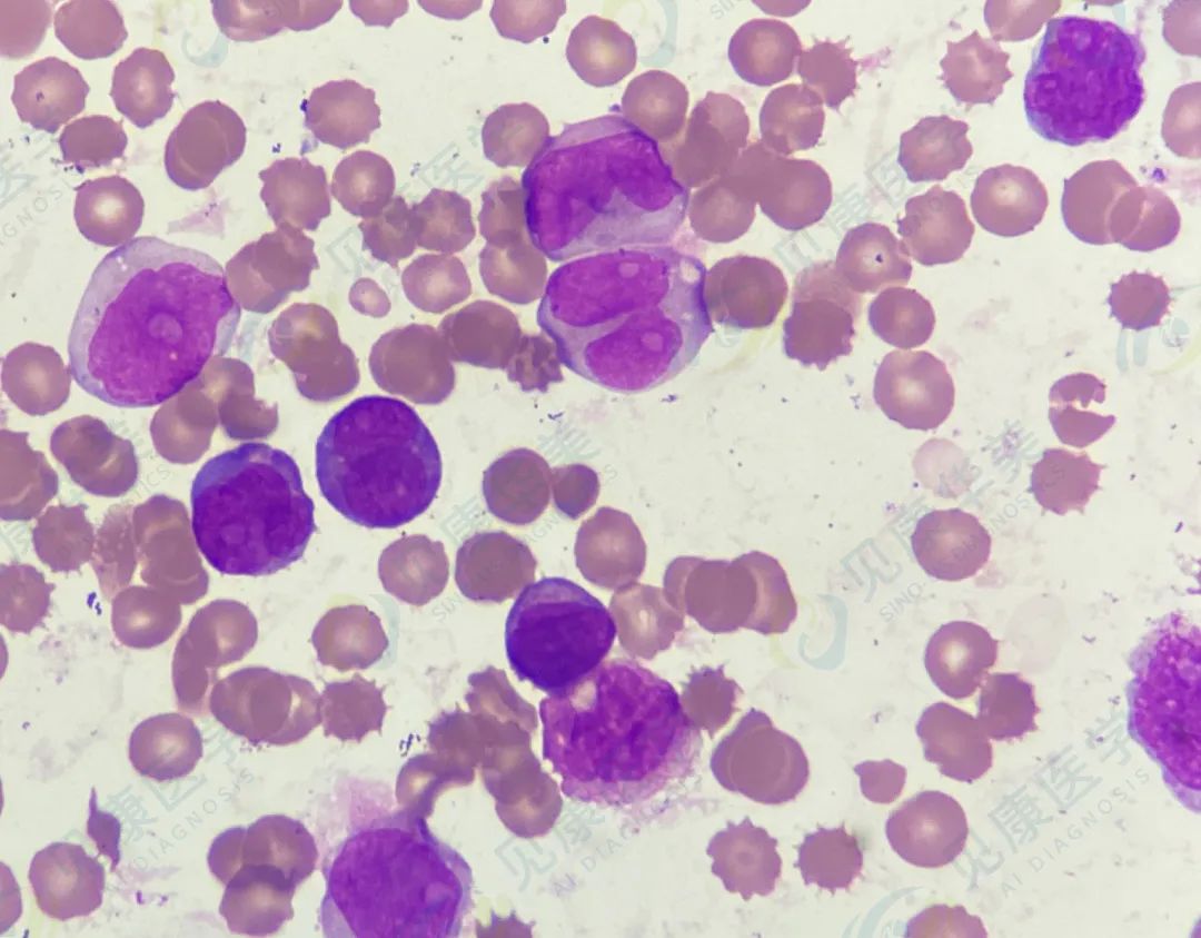
形态涂片 
   
 
 
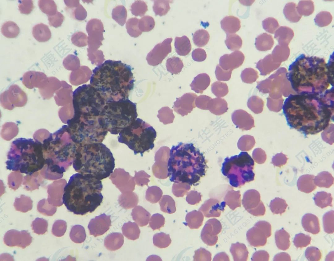
MPO染色 
 
 
融合基因 
 
 
 
诊断结果
 
 
急性早幼粒细胞白血病
 
作者:田欣 王占龙 蔺亚妮
 
见康华美原创文章未经授权不得转载,如需转载请联系jingyuliu@sino-us-diagnostics.com
 
PLT     39.0×109 /L 患者基本信息:
 
男,56岁, 发热,最高39.6℃。
 
血常规:
 
WBC   49.06 ×109 /L
 
RBC    3.74×1012 /L  
 
HB      132 g/L
 
PLT     39.0×109 /L