公司新闻

【形态学病例分享】第三十二期

患者基本信息
女,27岁,发现双下肢散在出血点2天入院, 肝、脾、淋巴结未及肿大。
 
血常规:
     WBC  33.84×109 /L
       RBC   3.3×1012 /L  
HB   104 g/L 
       PLT    18×109 /L  
MCV   95 fL 
 
 
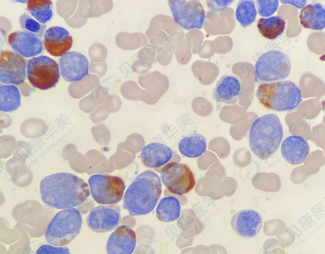
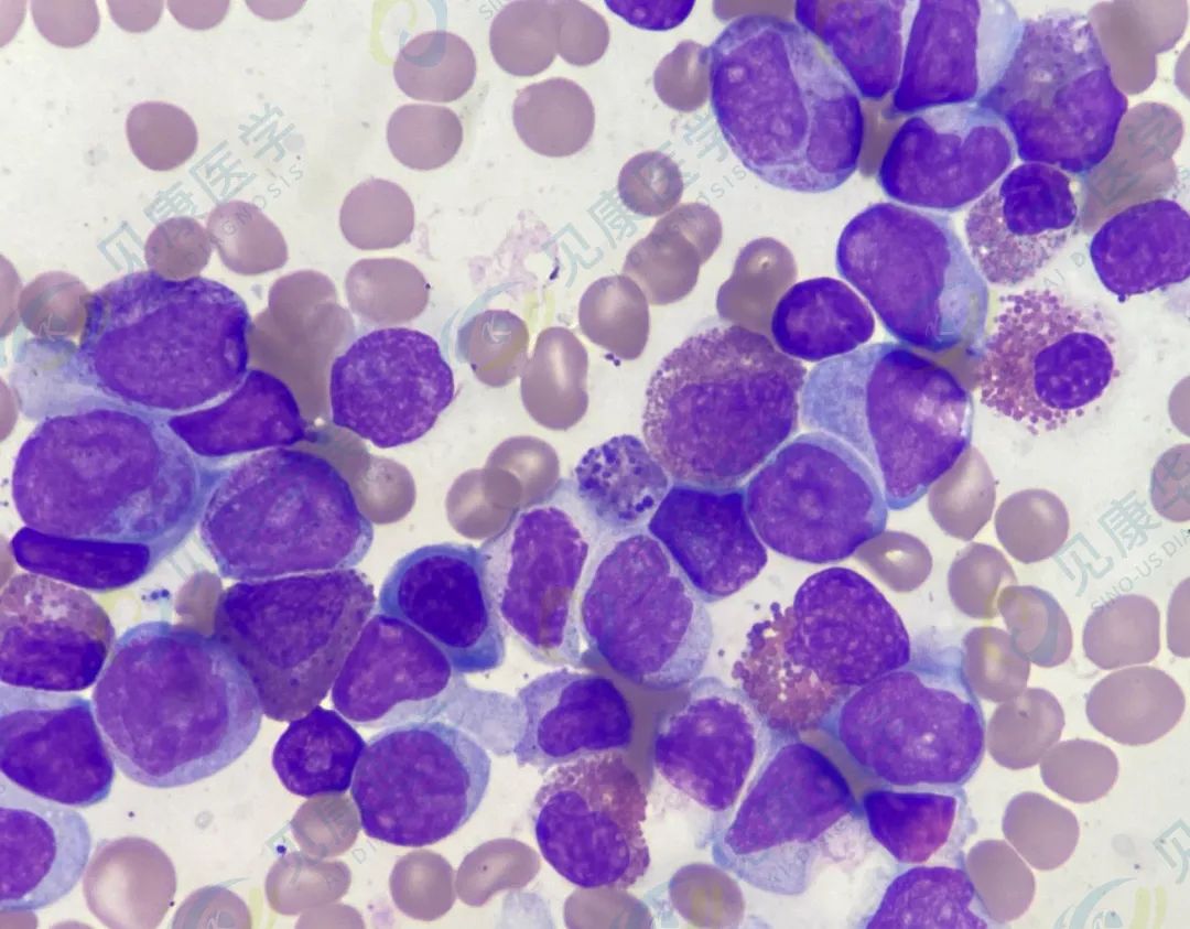
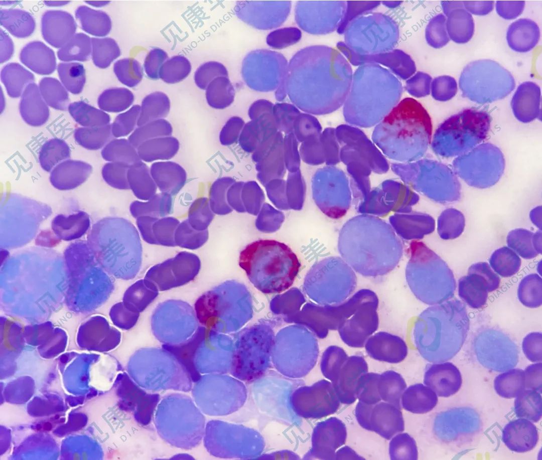
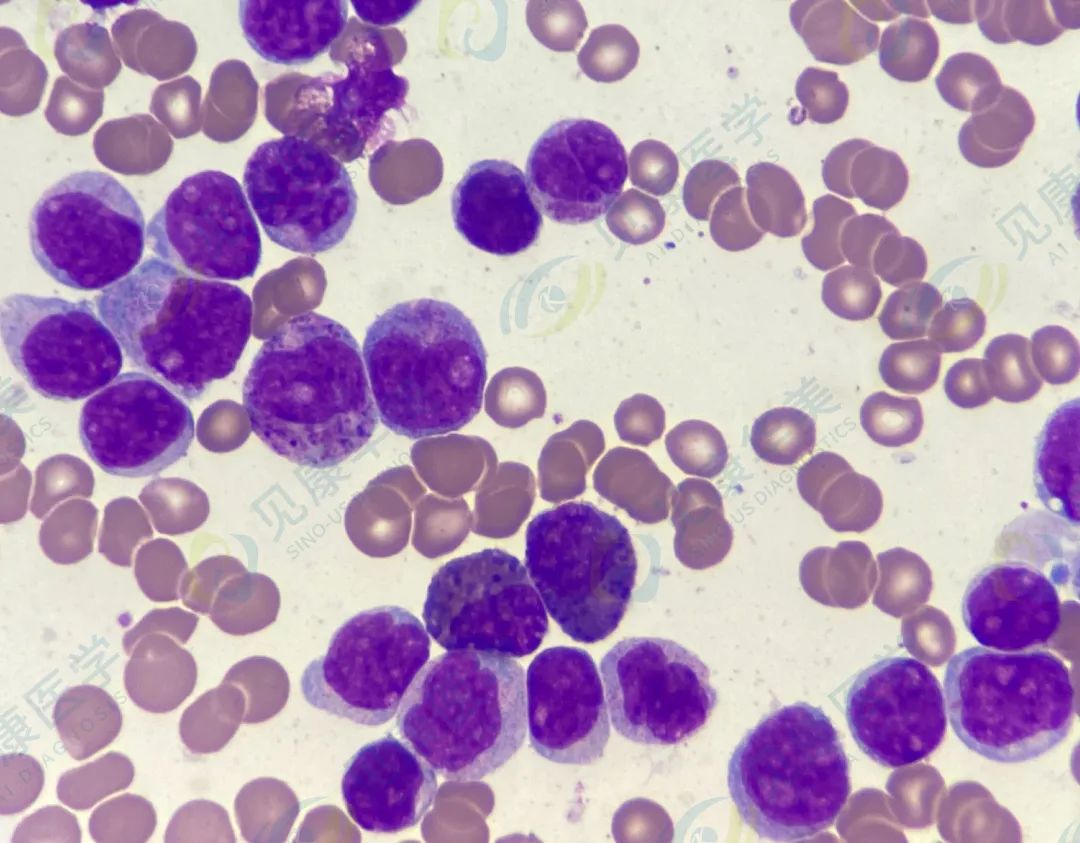
形态涂片 
 
 
 
细胞化学 
MPO
 
CE
 
 流式细胞学 
 
 
  融合基因 
 
 
诊断结果
 
 
FAB分型:AML-M4Eo      
 
WHO分型:AML伴CBFβ/MYH11融合基因阳性
 
 
作者:田欣   王占龙   陈雪晶    蔺亚妮
 
见康华美原创文章未经授权不得转载,如需转载请联系jingyuliu@sino-us-diagnostics.com
MCV   95 fL 患者基本信息
 
女,27岁,发现双下肢散在出血点2天入院, 肝、脾、淋巴结未及肿大。
 
血常规:
 
WBC  33.84×109 /L
 
RBC   3.3×1012 /L  
 
HB     104 g/L 
 
PLT    18×109 /L  
 
MCV   95 fL