公司新闻

【形态学病例分享】第三十一期

患者基本信息:
女,2岁。发热4小时入院,查血象异常,皮肤可见少量瘀斑,颈淋巴结肿大。
 
血常规:
WBC  3.9×109 /L
RBC   3.48 ×1012 /L  
HB     93 g/L 
PLT    24×109 /L 
 
 
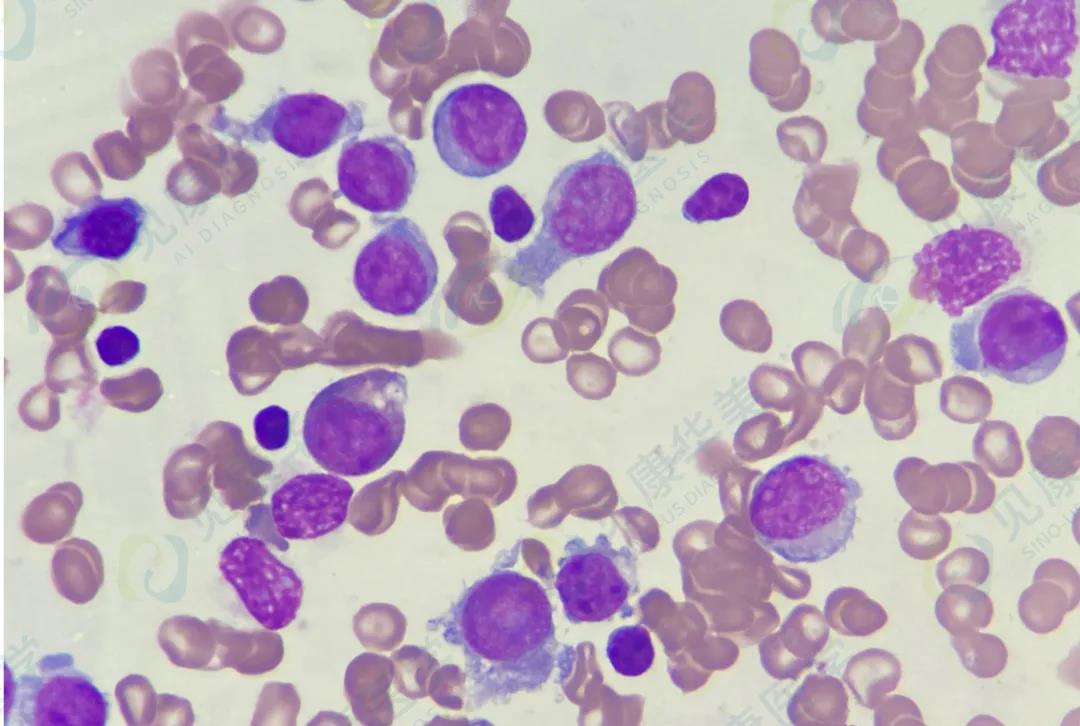
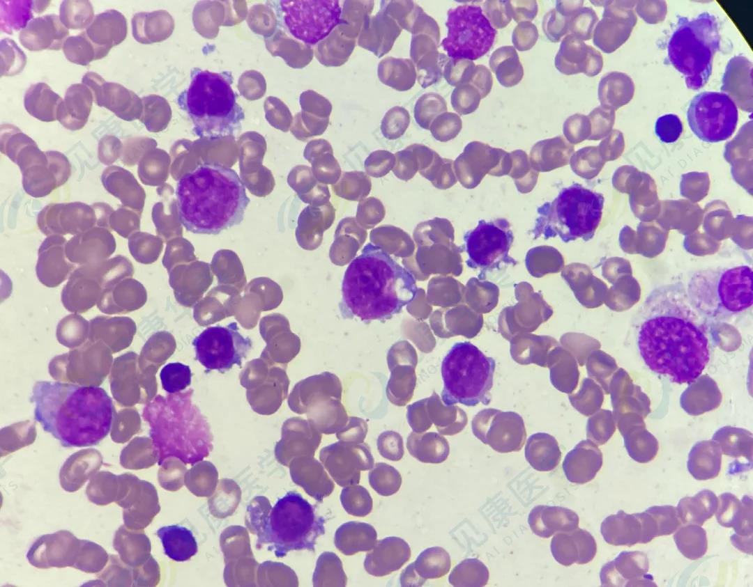
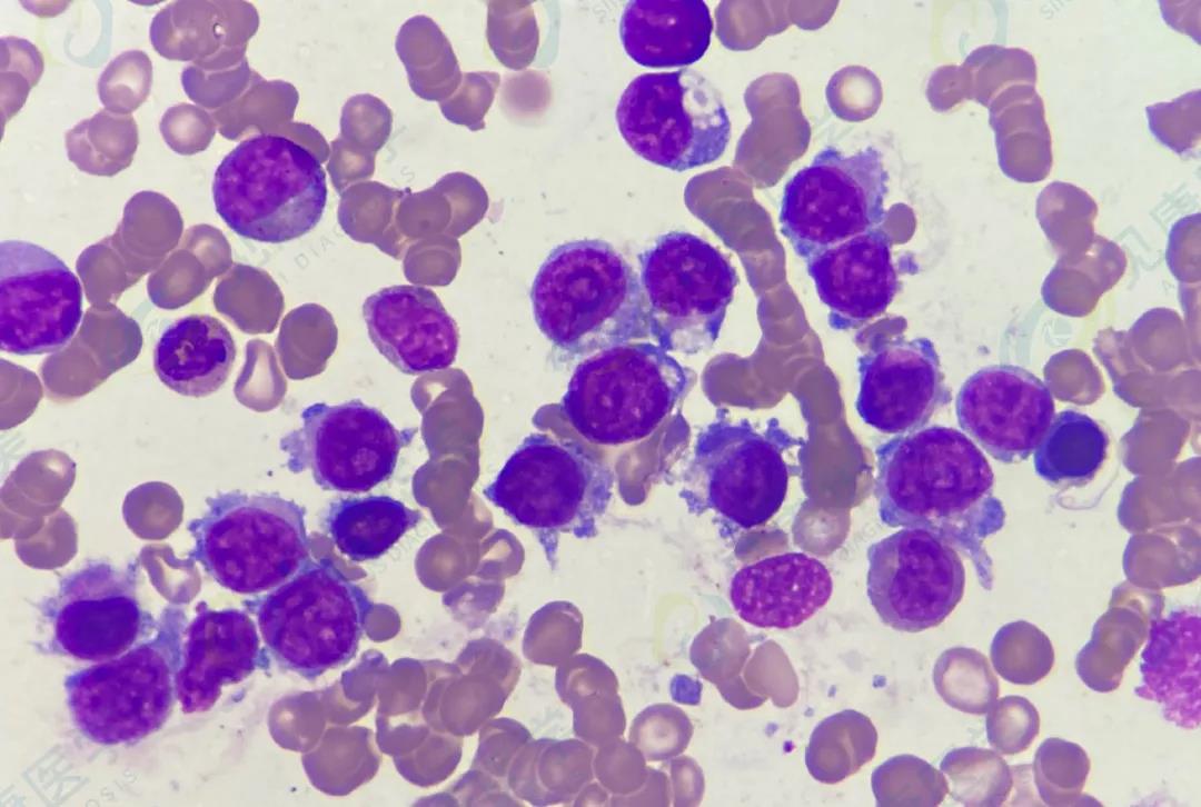
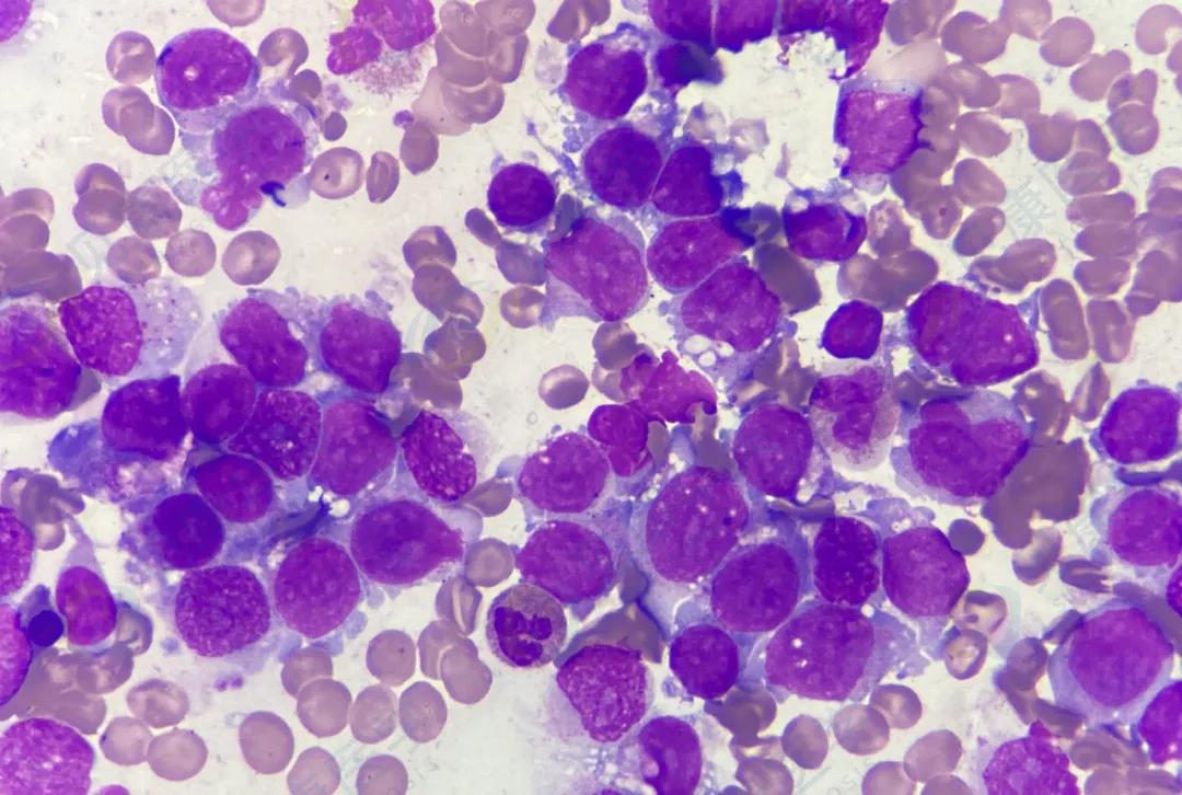
形态涂片 
 
 
 
 
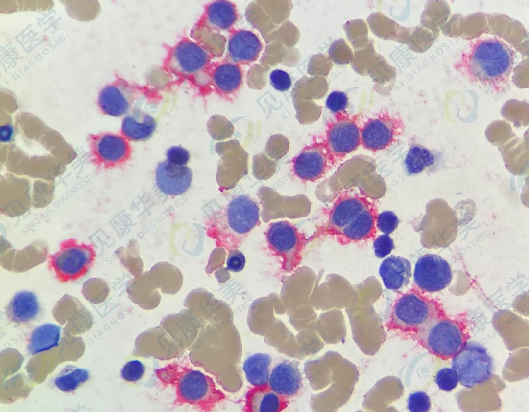
巨核酶标 
CD41染色阳性率55%
 
诊断结果
 
AML-M7
 
作者:田欣 王占龙
 
见康华美原创文章未经授权不得转载,如需转载请联系jingyuliu@sino-us-diagnostics.com
PLT    24×109 /L 患者基本信息:
女,2岁。发热4小时入院,查血象异常,皮肤可见少量瘀斑,颈淋巴结肿大。
 
血常规:
WBC  3.9×109 /L
RBC   3.48 ×1012 /L  
HB     93 g/L 
PLT    24×109 /L