公司新闻

【形态学病例分享】第十九期

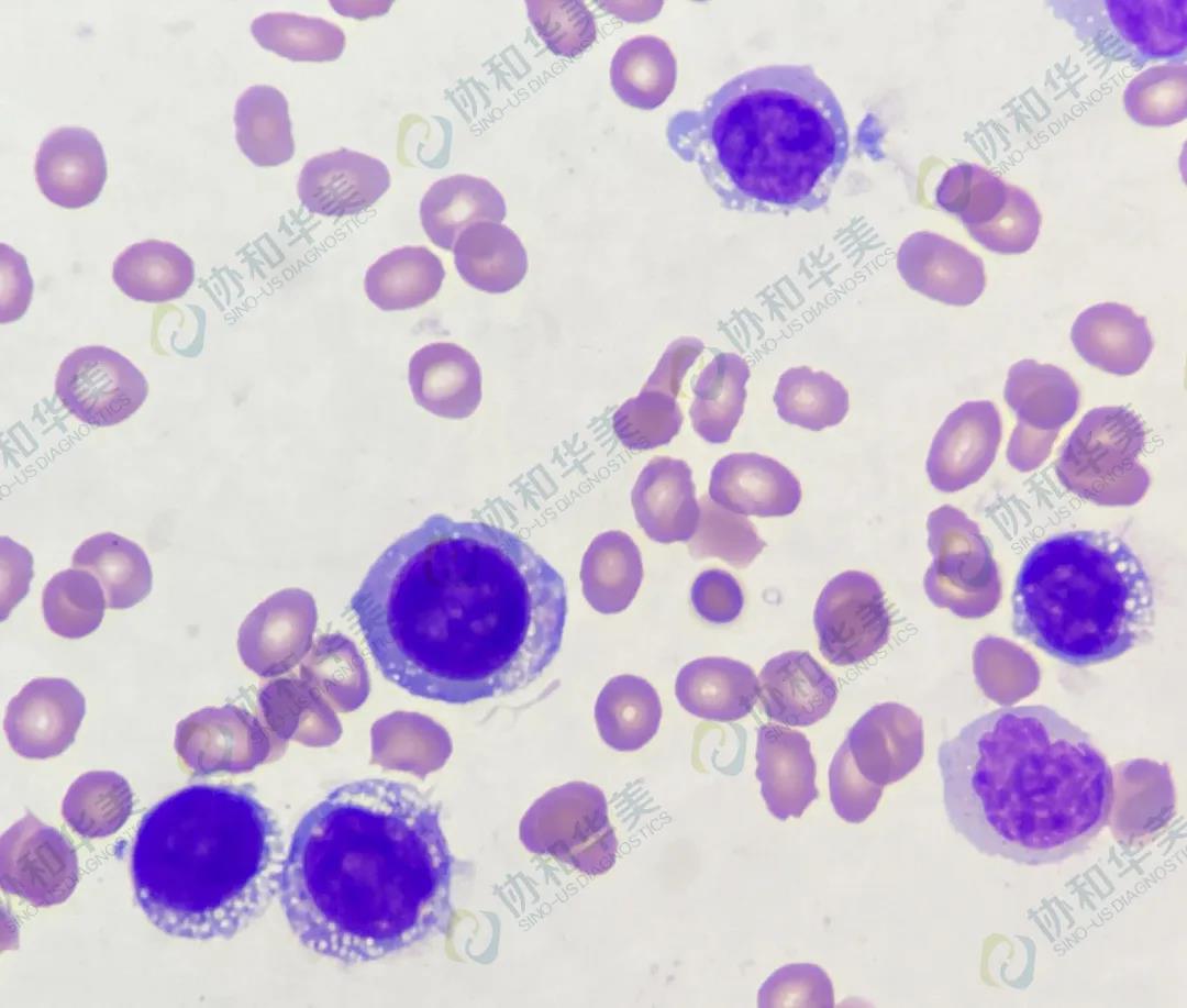
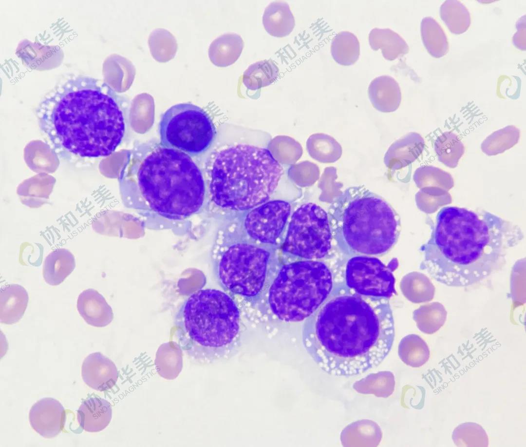
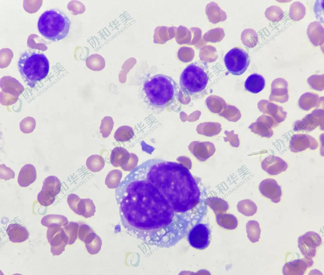
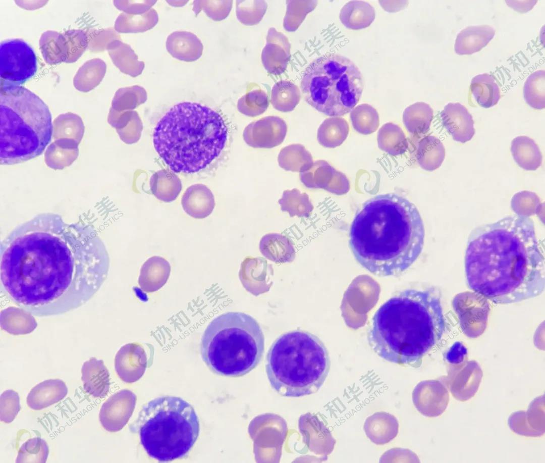
患者基本信息
女,88岁。
血常规:
WBC 2.21×109 /L
RBC  1.6 ×1012  /L
HB           45  g/L 
PLT   21×10/L 
 
形态涂片 
 
 
 
 
诊断报告
 
 
 
 
诊断结果
 
AML-M6
 
 
 
 
作者:田欣  陈雪晶  孙丽丹
 
协和华美原创文章未经授权不得转载,如需转载请联系jingyuliu@sino-us-diagnostics.com
作者:王占龙  陈雪晶  蔺亚妮    陈龙   杨少斌  张静芳 
 
协和华美原创文章未经授权不得转载,如需转载请联系jingyuliu@sino-us-diagnostics.com
PLT   21×109 /L 患者基本信息
女,88岁。
血常规:
WBC 2.21×109 /L
RBC  1.6 ×1012 /L
HB    45 g/L 
PLT   21×109 /L