公司新闻

【形态学病例分享】第十八期

患者基本信息
男,9岁,眼球突出半月余。 
血常规:
 WBC  21.66×109/L
      RBC   4.43×1012 /L 
HB   132  g/L 
      PLT    286×109 /L 
 
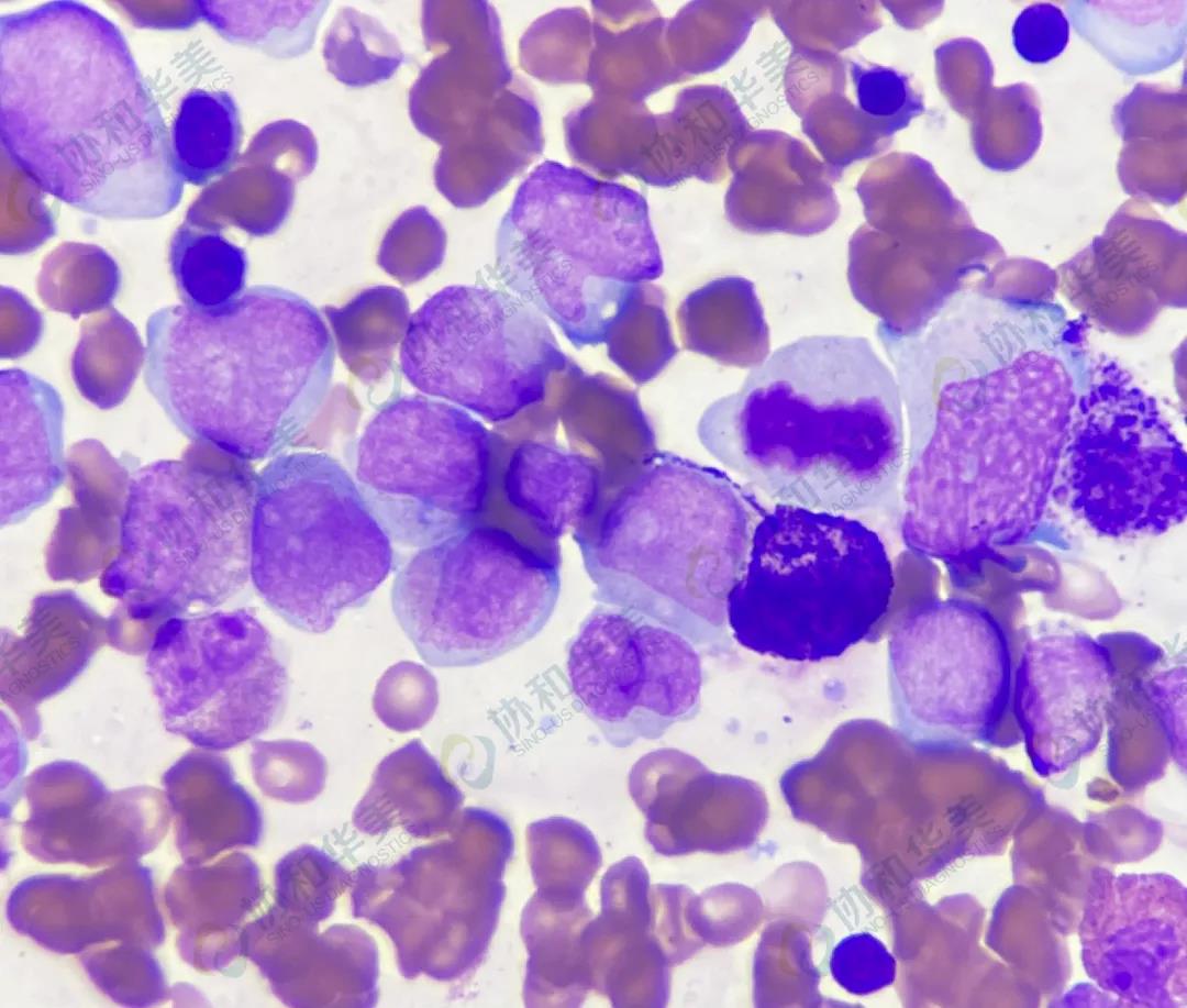
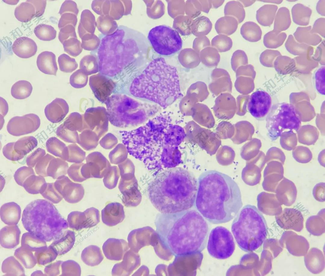
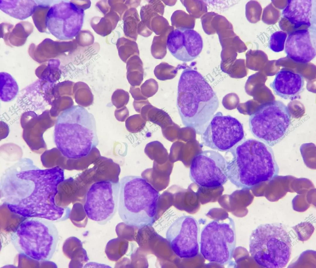
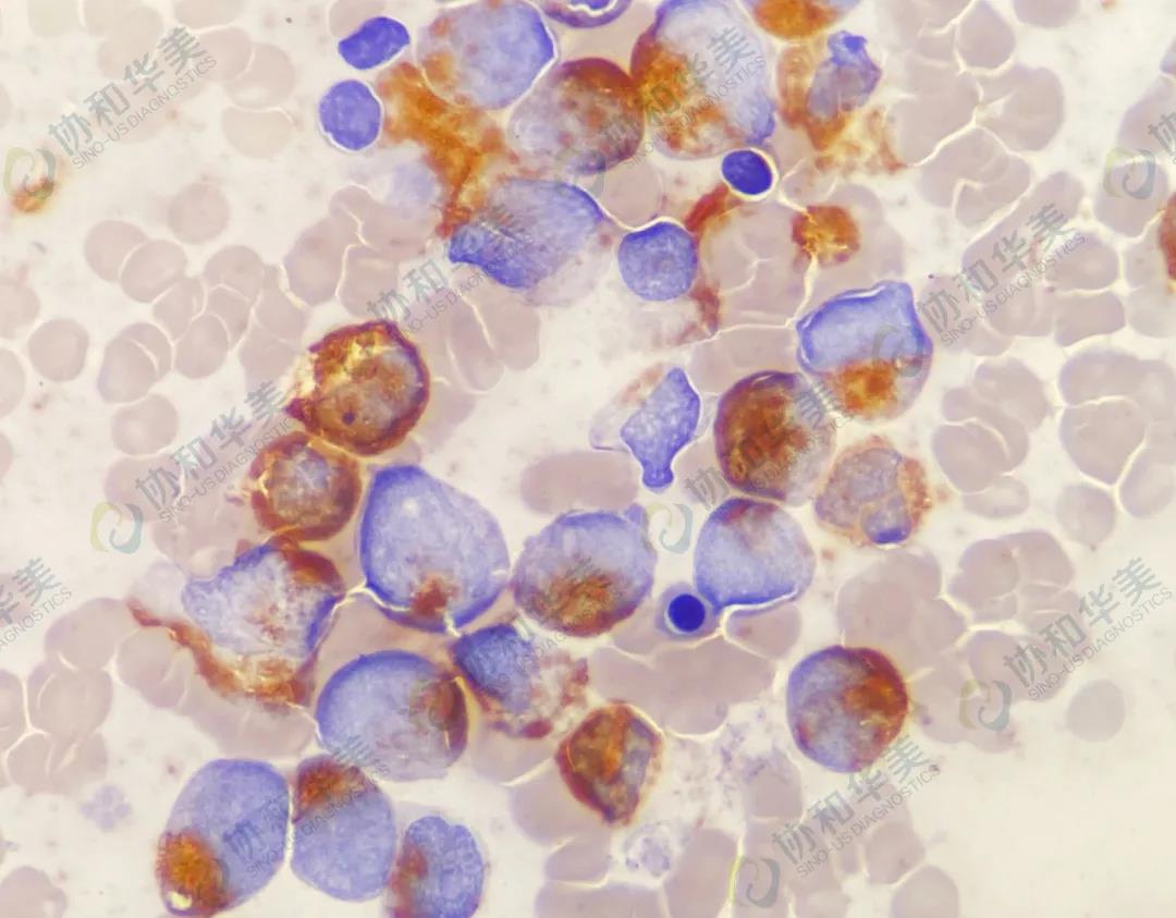
形态涂片
 
 
 
 
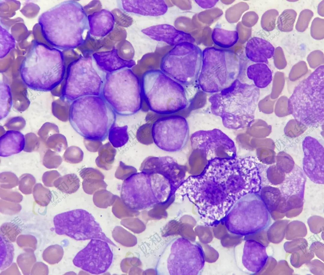
 MPO染色 
 
 诊断报告
 
 
 
 
 
诊断结果
 
 
1. AML伴AML1/ETO融合基因阳性
2. 可见少量异常肥大细胞。
 
 
 
 
 
1. AML伴AML1/ETO融合基因阳性
2. 可见少量异常肥大细胞。

作者:王占龙  陈雪晶  蔺亚妮    陈龙   杨少斌  张静芳 

协和华美原创文章未经授权不得转载,如需转载请联系jingyuliu@sino-us-diagnostics.com

1. AML伴AML1/ETO融合基因阳性

2. 可见少量异常肥大细胞。