公司新闻

【形态学病例分享】第十五期

患者基本信息
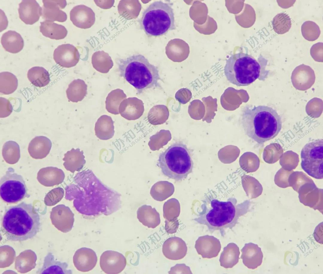
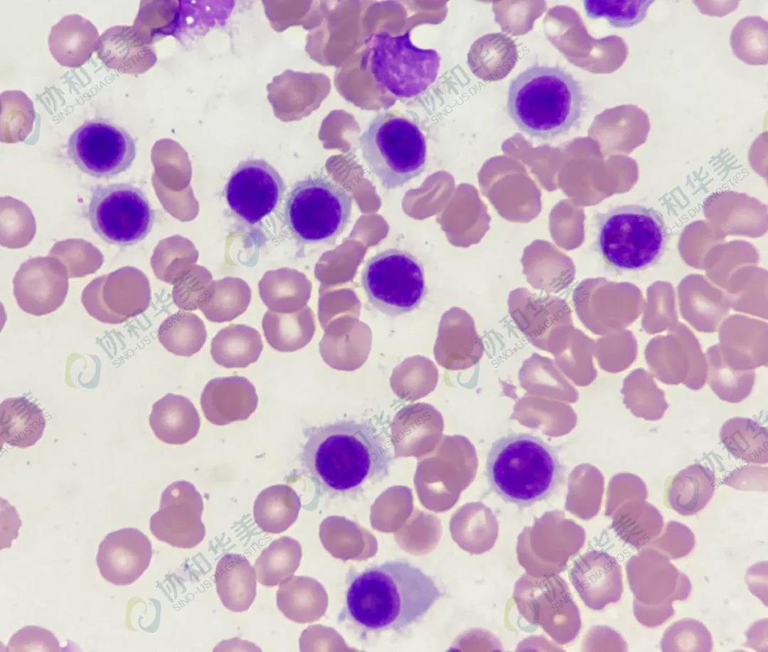
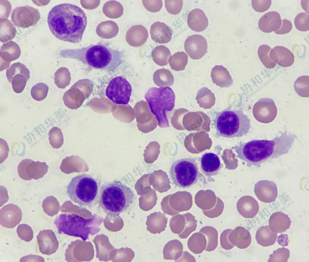
女,69岁,脾大。
血常规:
WBC  70.74 ×109  /L
RBC   2.78 ×1012 /L 
HB     80 g/L  
PLT    41 ×109/L
 
形态涂片
 
 
 
诊断报告 
 
 
 
 
诊断结果
 
边缘区淋巴瘤
 
作者:田欣 蔺亚妮 陈雪晶 孙丽丹
 
协和华美原创文章未经授权不得转载,如需转载请联系jingyuliu@sino-us-diagnostics.com
PLT    41 ×109 /L患者基本信息
女,69岁,脾大。
血常规:
WBC  70.74 ×109 /L
RBC   2.78 ×1012 /L 
HB     80 g/L  
PLT    41 ×109 /L