关于见康华美
见康华美介绍
见康华美文化
实验室介绍
资质荣誉
科研成果
新闻中心
公司新闻
视频新闻
学术活动
学术科普
检测项目
送检须知
项目查询
人力资源
员工风采
员工发展
福利待遇
招聘平台
联系我们
联系方式
业务范围
服务中心
科普知识
下载中心
检测咨询
公司新闻
【形态学病例分享】第十二期
患者基本信息:
患儿,11月29天。
血常规:
WBC 10.7×
10
9
/L
HB 70g/L
RBC 2.15×
10
12
/L
PLT 16×
10
9
/L
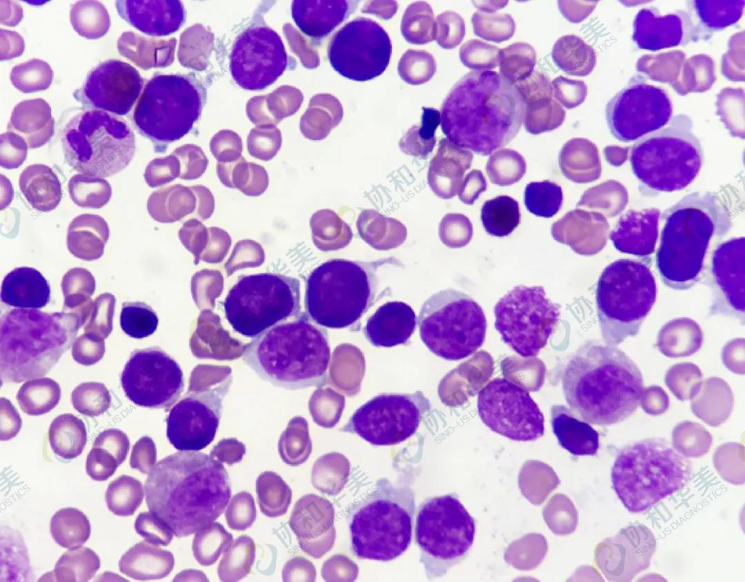
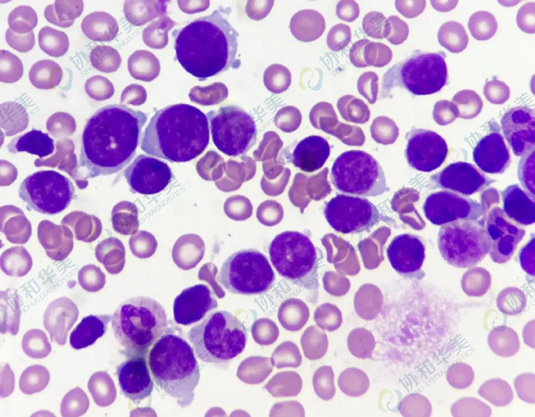
形态涂片
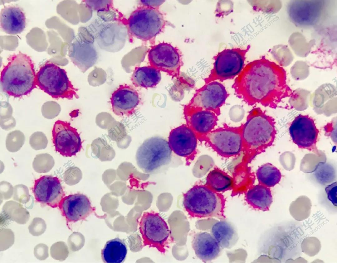
巨核酶标
流式
诊断结果
AML-M7
作者:王占龙
协和华美原创文章未经授权不得转载,如需转载请联系jingyuliu
@sino-us-diagnostics.com
PLT 16×109/L 患者基本信息:
患儿,11月29天。
血常规:
WBC 10.7×109/L
HB 70g/L
RBC 2.15×1012/L
PLT 16×109/L
形态涂片
形态涂片
形态涂片