公司新闻

【形态学病例分享】第十期

患者基本信息 
男,69岁, 乏力,全身浮肿20余天,肝脾淋巴结不大。
血常规:WBC 1.39×109 /L           HB  50 g/L 
                  RBC  1.63 ×1012 /L   PLT 14×109 /L
 
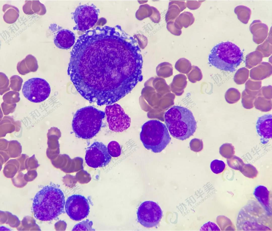
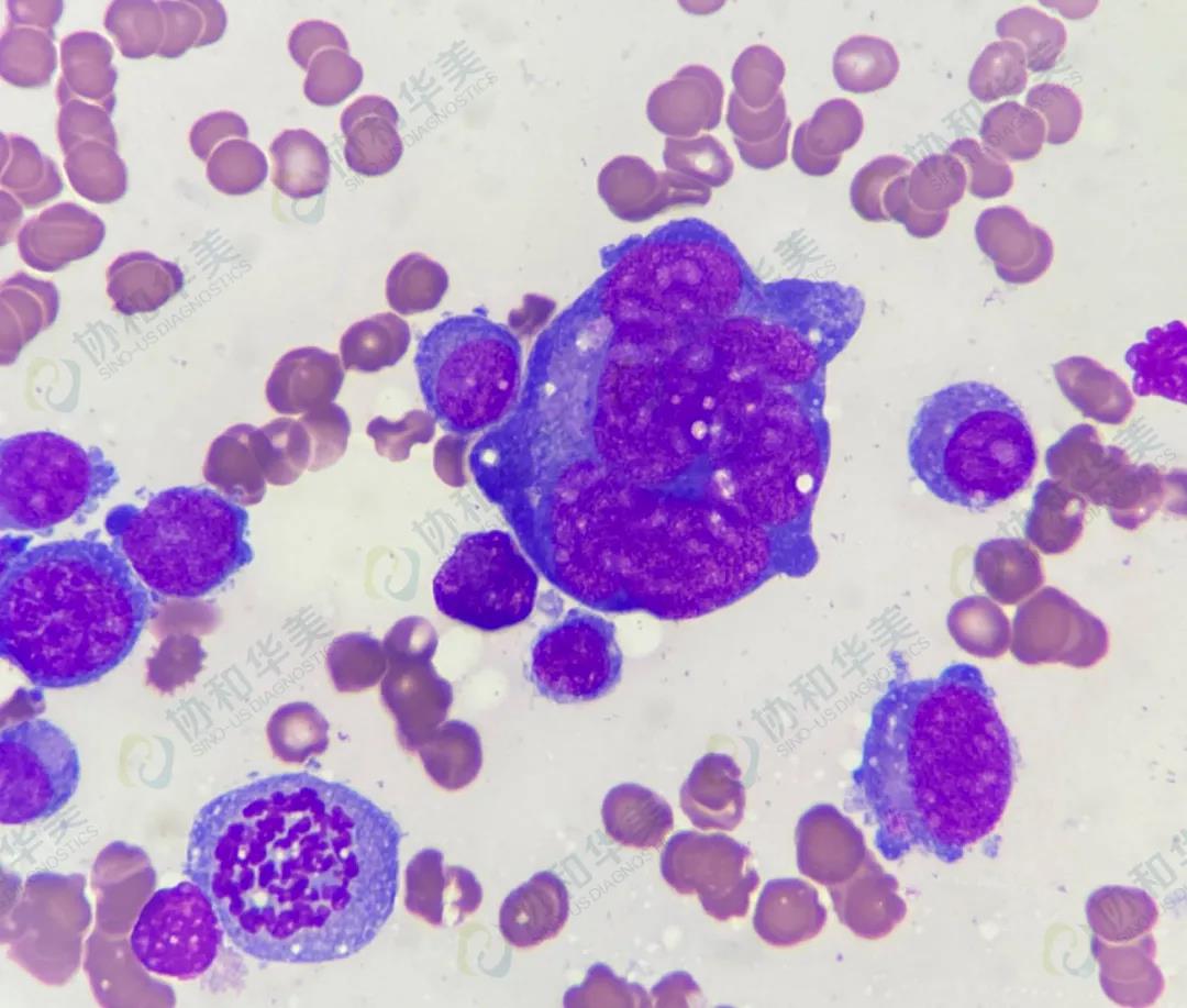
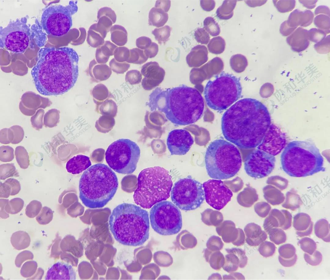
形态涂片 
 
 
 
流式细胞学 
 
 
诊断结果
 
AML-M6
 
作者:田欣 陈雪晶
 
协和华美原创文章未经授权不得转载,如需转载请联系jingyuliu@sino-us-diagnostics.com
RBC  1.63 ×1012 /L   PLT 14×109 /L患者基本信息 
男,69岁, 乏力,全身浮肿20余天,肝脾淋巴结不大。
血常规:
WBC 1.39×109 /L      HB  50 g/L 
RBC  1.63 ×1012 /L   PLT 14×109 /L