公司新闻

【形态学病例分享】第一期

基本信息:
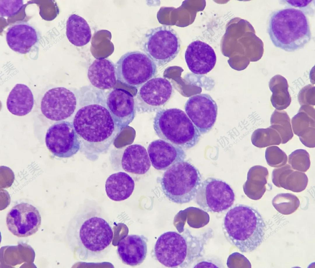
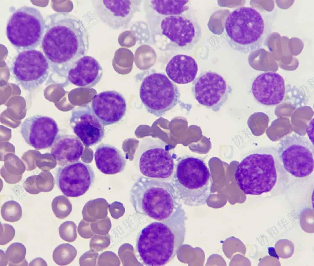
女,19岁,腿疼待查。肝脾不大。
血常规:WBC 15X10?/L  RBC 3.34X10¹²
             HB 90g/L           PLT 6X10?/L
患者基本信息:
女,19岁,腿疼待查。肝脾不大。
血常规:WBC 15X10?/L  RBC 3.34X10¹²
             HB 90g/L           PLT 6X10?/L患者基本 患者基本信息:
   
 
基本信息:
女,19岁,腿疼待查。肝脾不大。
血常规:WBC 15X10?/L  RBC 3.34X10¹²
             HB 90g/L           PLT 6X10?/L

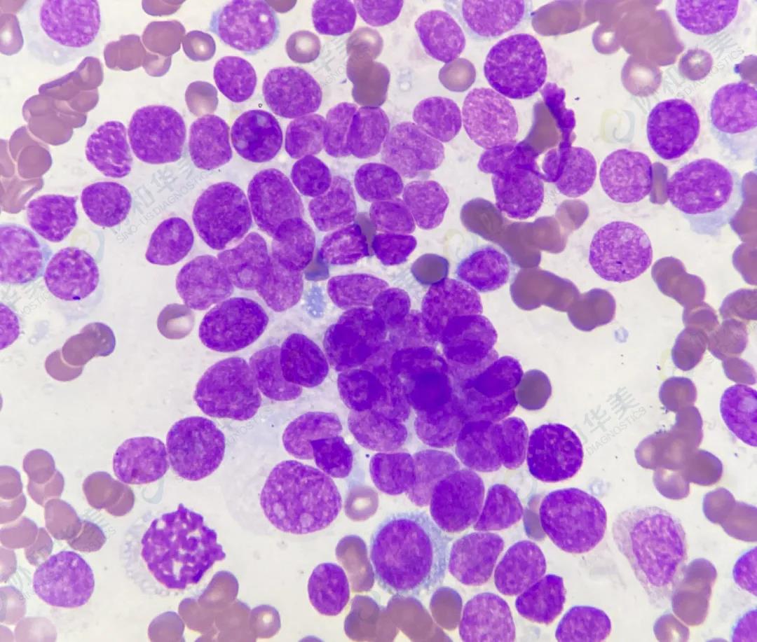
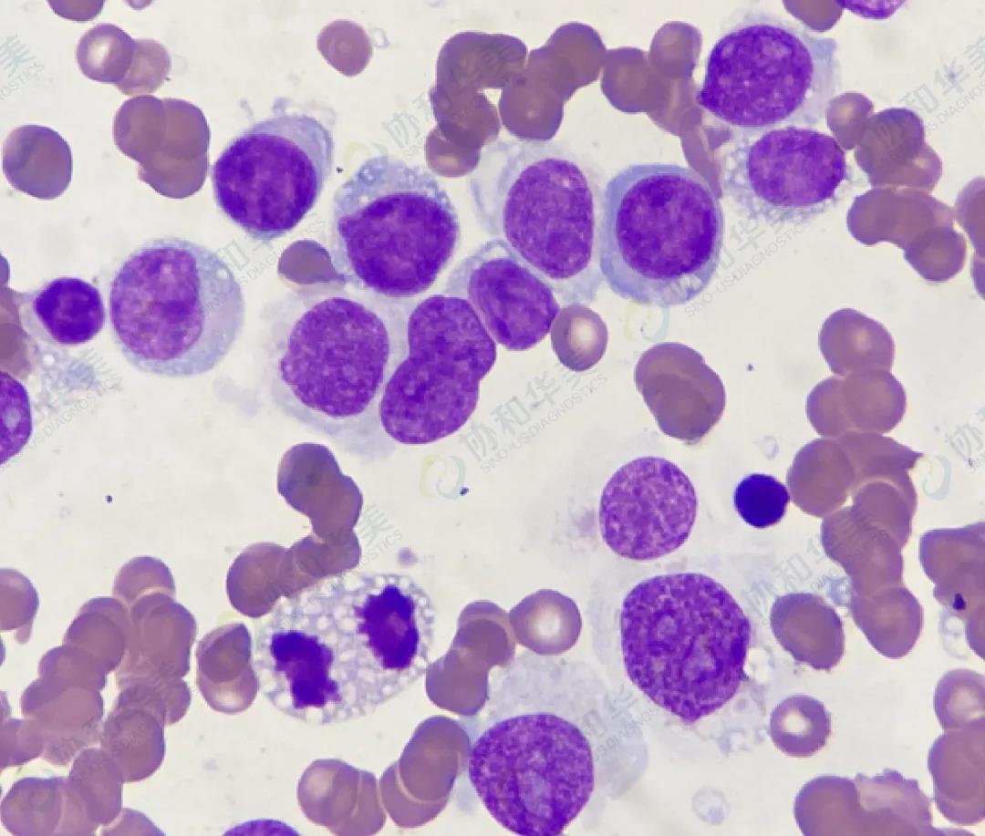
形态涂片

 
  
 
  
 
 
 
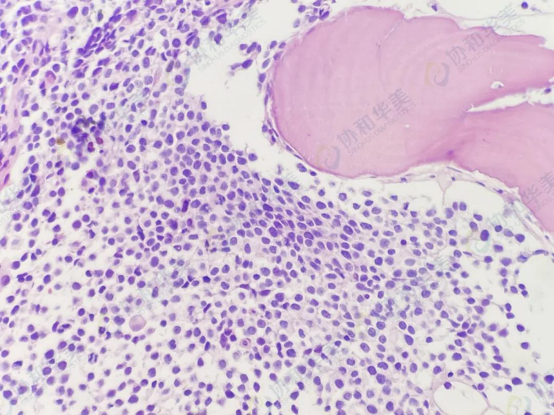
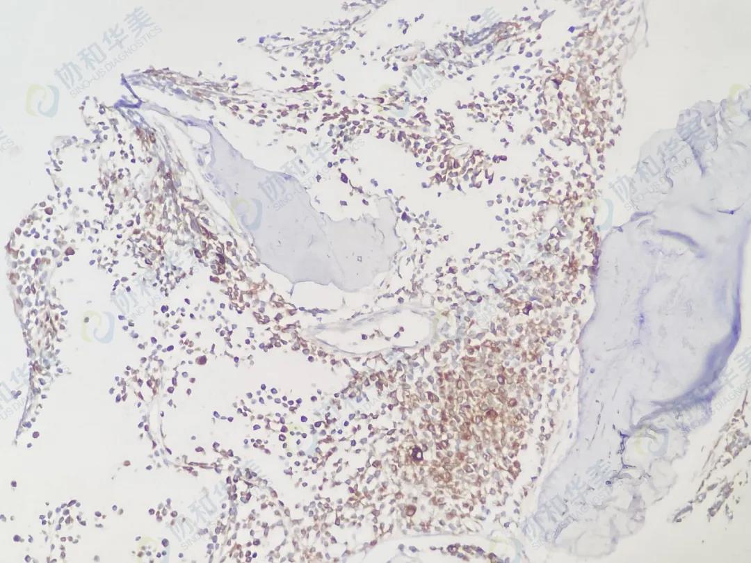
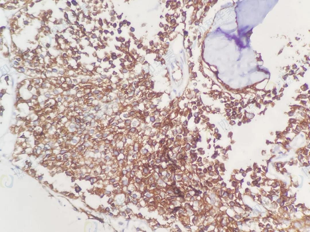
病理切片
 
  
HE染色                                                 HE染色
 
 
   
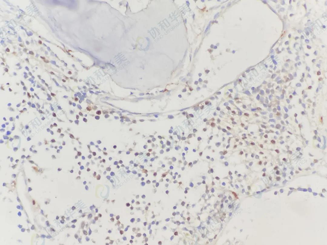
CD56                                                 Desmin
 
 
Myogenin
 
 
 
【诊断结果】
 

横纹肌肉瘤侵犯骨髓

 

 

 

 

作者:田欣 刘恩彬 李晓艳

协和华美原创文章未经授权不得转载,如需转载请联系jingyuliu@sino-us-diagnostics.com