关于见康华美
见康华美介绍
见康华美文化
实验室介绍
资质荣誉
科研成果
新闻中心
公司新闻
视频新闻
学术活动
学术科普
检测项目
送检须知
项目查询
人力资源
员工风采
员工发展
福利待遇
招聘平台
联系我们
联系方式
业务范围
服务中心
科普知识
下载中心
检测咨询
公司新闻
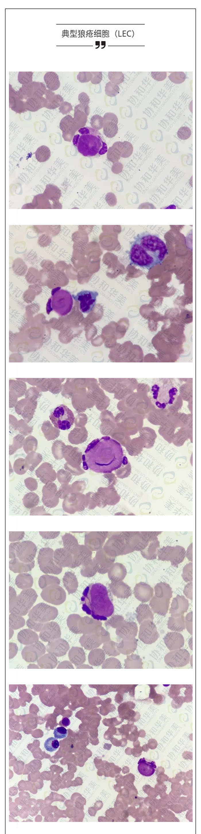
【协和华美血细胞课堂·1】狼疮细胞