【优势项目上线】白血病组化(三项)

一、检测项目:

髓过氧化物酶染色(MPO)、氯乙酸AS-D萘酚酯酶染色(CE)、过碘酸-雪夫染色(PAS)

二、检测方法:

髓过氧化物酶染色(MPO):盐酸联苯胺法

氯乙酸AS-D萘酚酯酶染色(CE):偶氮耦联法

过碘酸-雪夫染色(PAS):过碘酸-雪夫反应

三、临床意义:辅助常见急性白血病分型

四、项目介绍:

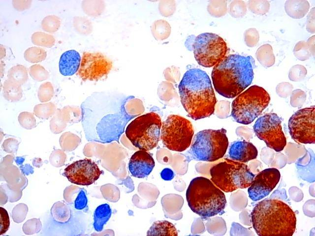
髓过氧化物酶染色(MPO):髓过氧化物酶(MPO)是一类糖蛋白,相对分子质量约为150000,是人类中性粒细胞含量最多的蛋白质,约占细胞干重的3%-5%。MPO主要存在于嗜天青颗粒中,主要功能是破坏生物氧化过程中有剧毒的过氧化物,使其放出氧,参加细胞内氧化还原过程,主要用于检查粒细胞、单核细胞和HL-60细胞。 根据MPO阳性率及酶型特点可区分鉴别ALL及AML-M1、AML-M2、AML-M3、AML-M4、AML-M5。

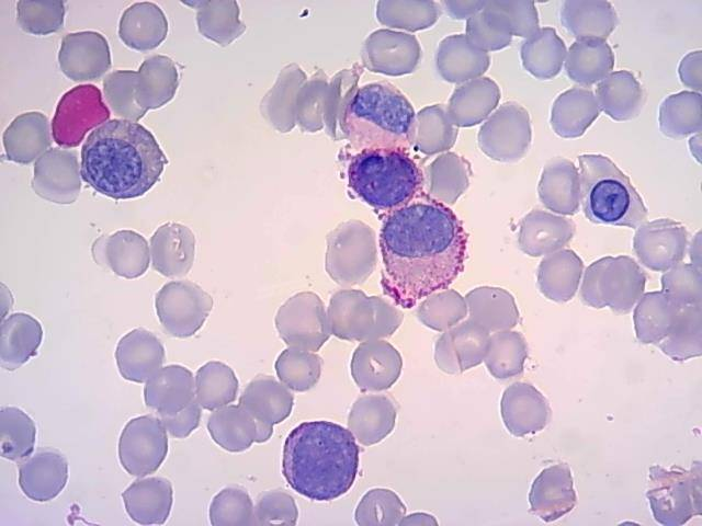
氯乙酸AS-D萘酚酯酶染色(CE):又称特异性酯酶,通常被看作是粒细胞及肥大细胞标志酶,分布局限,很多报道都强调了其对粒细胞有较强的特异性。在粒细胞系统中,原始粒细胞呈阴性,少数分化好的早幼粒细胞至成熟中性粒细胞呈阳性反应;嗜酸粒细胞呈阴性或弱阳性反应;嗜碱性粒细胞呈阴性反应;单核细胞呈阴性或弱阳性反应;淋巴细胞、浆细胞、幼红细胞、巨核细胞及血小板均呈阴性反应;组织嗜碱细胞呈强阳性反应。

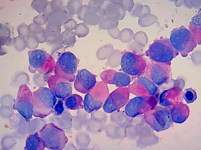
过碘酸-雪夫染色(PAS):过碘酸-雪夫反应可以定位于含多糖类物质的细胞内并使其显色。PAS染色在粒系及单核系不同发育阶段呈现出不同程度的弥散阳性。PAS在ALL以及AML-M7中表现出较强的阳性,如颗粒状、片状、珠状或块状。可以起到一定的提示作用,为下一步检查指明方向。

五、标本要求:

5张未染色骨髓涂片 +  2张未染色外周血涂片

六、报告周期:

实验室接到标本后2-3个工作日

七、染色示例: