【优势项目上线】免疫细胞化学染色

不同血液病之间骨髓巨核细胞的增生与分化有质和量的差别,在骨髓增生异常综合征(MDS)及某些白血病(如急性全髓白血病伴骨髓纤维化、急性巨核细胞白血病、慢性粒细胞白血病等),骨髓巨核系统有质和量的异常,骨髓及外周血会出现形态异常的巨核细胞及血小板,此类异常巨核细胞除表现为单元核、双元核及多元核发育异常外,还表现为核小、胞体小,故称“小巨核细胞”。良性血液病少见淋巴样小巨核细胞,恶性血液病多见。

由于巨核细胞形态多变,尤其是原始巨核细胞、小巨核细胞及微小巨核细胞形态不易辨认,常见的瑞氏染色形态不易识别出淋巴样小巨核细胞。巨核酶标染色检查淋巴小巨核细胞灵敏度高、特异度高,淋巴样小巨核细胞的检出率大大提高,还可以同时观察巨核细胞的形态和分化特征,使得对巨核细胞认识提高到原始巨核细胞水平。

此项目可辅助诊断急性巨细胞白血病(AML-M7)、骨髓增生异常综合征(MDS)、鉴别低增生骨髓增生异常综合征(MDS)及再生障碍性贫血(AA)。建议作为怀疑AML-M7、骨髓增生异常综合征(MDS)患者的常规检测项目及儿童急性白血病的鉴别诊断检测项目。

协和华美拥有丰富的巨核酶标诊断经验,采用中国医学科学院血液病医院病理诊断中心细胞化学式分类标准,为临床医生提供诊断治疗参考。

 

为满足临床需求

协和华美持续开展巨核酶标检测项目

 

 

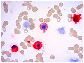
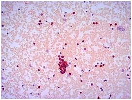
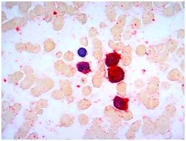
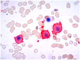
一、检测项目:免疫细胞化学染色(CD41a)

二、检测方法:链酶卵白素-生物素方法(SAP法)

三、临床意义:建议作为怀疑AML-M7、骨髓增生异常综合征(MDS)患者的常规检测项目及儿童急性白血病的鉴别诊断检测项目。

四、标本要求:2张未染色骨髓涂片

五、报告周期:实验室接到标本后2-3个工作日。

六、染色示例: