一例罕见伴M蛋白κ和λ双克隆WM的诊断与探讨
淋巴浆细胞淋巴瘤(LPL)是伴浆样分化的小B细胞淋巴瘤,肿瘤细胞由小淋巴细胞、浆样淋巴细胞及浆细胞组成,免疫表型多为CD5-CD10-,常伴MYD88基因突变。华氏巨球蛋白血症(WM)指LPL侵犯骨髓且伴血清单克隆IgM型丙种球蛋白,占LPL的90%~95%。仅少数LPL患者血清单克隆免疫球蛋白类型为IgA、IgG或无单克隆成分,称为非WM型LPL。
在LPL中,双克隆M蛋白极为罕见。本文报道一例血清中存在罕见IgMκ与IgMλ双克隆M蛋白的特殊LPL/WM病例,同时进行病例分析和文献复习。
病史简介
患者,男性,70岁。因计划进行前列腺癌筛查,在常规检查中意外发现实验室指标异常,临床初步怀疑为浆细胞骨髓瘤或淋巴浆细胞淋巴瘤(LPL)。
实验室检查结果
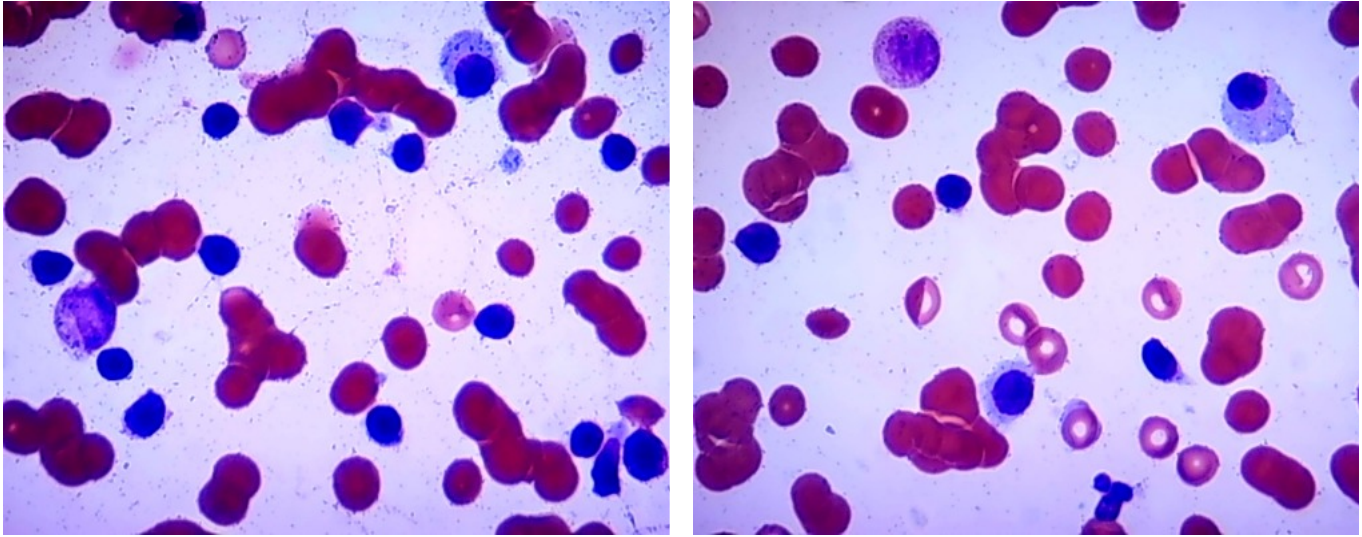
【骨髓形态学】
骨髓增生活跃,粒、红两系比例减低。成熟红细胞呈缗钱状排列。成熟淋巴细胞比例显著增高,约占66%,以小淋巴细胞为主,可见少量浆样淋巴细胞。浆细胞约2%,为成熟浆细胞。
.png)
【流式细胞学】
检测到两群异常细胞:
-
单克隆B淋巴细胞群,占比约59.46%。免疫表型为CD19+CD20+CD22+CD5-CD10-CD103-cKappa+。
-
单克隆浆细胞群,占比约0.16%。免疫表型为CD38+CD19+CD56-cKappa+。
提示:符合淋巴浆细胞淋巴瘤(LPL)或CD5-CD10- 小B细胞淋巴瘤伴浆细胞分化。
.png)
【分子生物学】
基因突变检测:CXCR4 S338X基因热点突变阳性;MYD88 L265P基因突变阳性。
【免疫学】
1. 免疫固定电泳:
-
血清免疫固定电泳:琼脂糖凝胶电泳技术发现γ区IgM、κ、λ泳道存在致密条带,判定为IgMκ和IgMλ单克隆条带,存在双克隆M蛋白。
为排除免疫球蛋白聚合导致的假性双克隆,实验室采用巯基乙醇对标本进行解聚处理后复测,结果与初次一致,确认不存在蛋白聚合干扰。更换毛细管电泳技术进行免疫分型,结果与琼脂糖免疫固定电泳完全吻合。
.png)
琼脂糖凝胶电泳图
.png)
毛细管电泳图
-
尿液免疫固定电泳:琼脂糖凝胶电泳技术发现γ区κ泳道存在致密条带,判定为κ单克隆条带。

琼脂糖凝胶电泳图
2. 蛋白电泳
-
血清蛋白电泳:γ区可见两个独立的单克隆峰,M蛋白总含量为8.3 g/L(其中IgMκ型4.8 g/L,IgMλ型3.5 g/L)。
-
尿液蛋白电泳:γ区可见一个单克隆峰,M蛋白含量为0.06 g/24h尿。
3. 免疫球蛋白及轻链定量
-
免疫球蛋白定量:IgM定量16.40g/L(参考区间0.4-2.3g/L),水平显著升高。
-
血清轻链定量:κ/λ比值正常。
-
血清游离轻链定量:κ/λ比值正常。
病例分析与文献复习
本例老年男性,骨髓细胞形态学示小淋巴细胞增生,可见浆样分化,伴少量浆细胞。成熟红细胞缗钱状排列明显,提示有球蛋白增高。流式细胞学检测到克隆性B细胞和克隆性浆细胞,符合LPL或CD5-CD10- 小B细胞淋巴瘤伴浆细胞分化的免疫表型特征,主要需鉴别LPL和边缘区淋巴瘤(MZL)。结合分子生物学中的MYD88和CXCR4基因突变,及血清免疫固定电泳中IgM克隆性条带,诊断为LPL/WM。较为罕见的是,血清免疫固定电泳显示存在IgMκ和IgMλ两条克隆性条带,即双克隆M蛋白。
电泳是发现双克隆现象的一线筛查工具。血清蛋白电泳(SPEP)通常表现为γ区或β-γ区同时出现两个狭窄的尖峰(即两条M蛋白峰)。免疫固定电泳(IFE)用于精准鉴定亚型,双克隆可表现为三种组合模式:相同重链不同轻链(如IgGκ+IgGλ)、不同重链相同轻链(如IgGκ+IgMκ)、不同重链不同轻链(如IgGκ+IgAλ)。本例患者表现为IgMκ和IgMλ,属于相同重链不同轻链的类型。
值得注意的是,血清电泳检测到的双克隆现象,与流式细胞学检测到的骨髓细胞的克隆性并不总是一致,这一现象在临床病例中已有报道。Kobe University Hospital¹报道了1例POEMS综合征患者,血清显示IgAκ和IgAλ双克隆,但骨髓中仅存在λ限制性单克隆浆细胞增殖。本例患者同样表现出血清双克隆与骨髓克隆性不一致的特征。血清免疫固定电泳显示IgMκ和IgMλ双克隆,但骨髓流式细胞学仅κ限制性表达。上述病例表明,血清双克隆与骨髓细胞克隆性不完全一致的现象确实存在,其机制可能涉及髓外克隆(克隆位于髓外病灶,骨髓未检出)、不同细胞系别来源差异(B细胞来源与浆细胞来源克隆并存)、良性反应性克隆与恶性克隆共存、或分泌型与非分泌型克隆共存(低分泌型克隆骨髓检出困难)等,但目前相关报道较少,尚未形成统一的机制共识。
关于双克隆的临床转归与治疗反应,Mayo Clinic²的一项大样本研究提供了重要数据:研究539例双克隆蛋白患者,在393例意义未明的单克隆丙种球蛋白病/意义未明的双克隆丙种球蛋白病(MGUS/BGUS)患者中,22例进展为冒烟型浆细胞骨髓瘤(SMM)(6例)、MM(11例)、系统性轻链型(AL型)淀粉样变性(3例)或WM(2例);16例双克隆SMM患者中5例进展为MM。BGUS的年进展率约为1%,与单一单克隆蛋白MGUS相似。双克隆SMM的中位预估进展时间为2.6年,与单克隆SMM相当。双克隆MM患者中,对于病情进展并接受治疗的患者,两种M蛋白均对治疗产生应答;复发时,原有主M蛋白在疾病进展过程中仍保持主导地位(临床和实验室评估中,通常根据M蛋白峰的大小进行主次区分)。该研究表明,双克隆丙种球蛋白病的病程进展速率与单克隆MGUS和SMM相似,提示两种克隆在临床进展上相对独立,彼此间未必存在相互影响。基于此,在自然病程中,双克隆通常不会自发演变为单克隆;演变为单克隆更可能是一种治疗后的结果,而非自然转归的一部分。
LPL/WM出现双克隆M蛋白,且为IgMκ和IgMλ型,极为罕见,需与其它伴双克隆M蛋白的疾病进行鉴别,包括IgM型意义未明的单克隆丙种球蛋白病(MGUS)、IgM型MM、以及产生双克隆IgM蛋白的其它小B细胞淋巴瘤等。病理形态学、免疫表型和MYD88基因突变检查是鉴别的关键。
此外,CXCR4突变状态亦是治疗决策的重要依据。根据《华氏巨球蛋白血症/淋巴浆细胞淋巴瘤诊疗指南(2025年版)》,MYD88/CXCR4突变状况是制定个体化治疗方案的核心参考。该突变可影响共价BTK抑制剂疗效:携带CXCR4突变的患者对伊布替尼应答欠佳,但对泽布替尼疗效更优。
还需强调电泳中的双克隆与流式细胞学中的双克隆并非等同:前者是细胞产物,后者是细胞本身,二者不完全同步。电泳中的双克隆代表两种不同的异常免疫球蛋白分泌产物。流式中的双克隆代表两种不同的异常细胞群,可能是前体克隆发生分化偏离或伴有同型转换的克隆演化,提示同一种疾病;也可能是双克隆B细胞肿瘤的平行发生,提示两种独立的疾病。
参考文献:
1. Ainai S, Komaki R, Muramae N, et al. Biclonal Gammopathy as a Misleading Indicator to Diagnose POEMS Syndrome: An Autopsy Case Report and a Review of the Literature. Cureus. 2022;14(5):e25153.
2. Mullikin TC, Rajkumar SV, Dispenzieri A, et al. Clinical characteristics and outcomes in biclonal gammopathies. Am J Hematol. 2016;91(5):473-475.
3. NCCN Guidelines Version 3.2026. B-Cell Lymphomas.
4. NCCN Guidelines Version 2.2026. Waldenström Macroglobulinemia/ Lymphoplasmacytic Lymphoma.
5. 淋巴浆细胞淋巴瘤/华氏巨球蛋白血症诊断与治疗中国指南(2022年版) [J] . 中华血液学杂志, 2022, 43(8) : 624-630. DOI: 10.3760/cma.j.issn.0253-2727.2022.08.002.
6. B细胞慢性淋巴增殖性疾病诊断与鉴别诊断中国专家共识(2018年版)[J]. 中华血液学杂志,2018,39(5):359-365.
7. 惰性B细胞淋巴瘤诊断与鉴别诊断中国专家共识(2025年版)[J]. 中华血液学杂志,2025,46(07):601-610.
8. 中国医师协会血液科医师分会,等. 中国多发性骨髓瘤诊治指南(2024年修订)[J]. 中华内科杂志,2024,63(12):1186-1195.
作者:樊褀、坎泽