【形态学病例分享】第一百二十六期

患者基本信息:

男,60岁,发热、血细胞减少待查。

血常规:

WBC  2.93×109 /L

RBC   1.92×1012 /L

HB     60 g/L  

PLT    151×109 /L

 

 

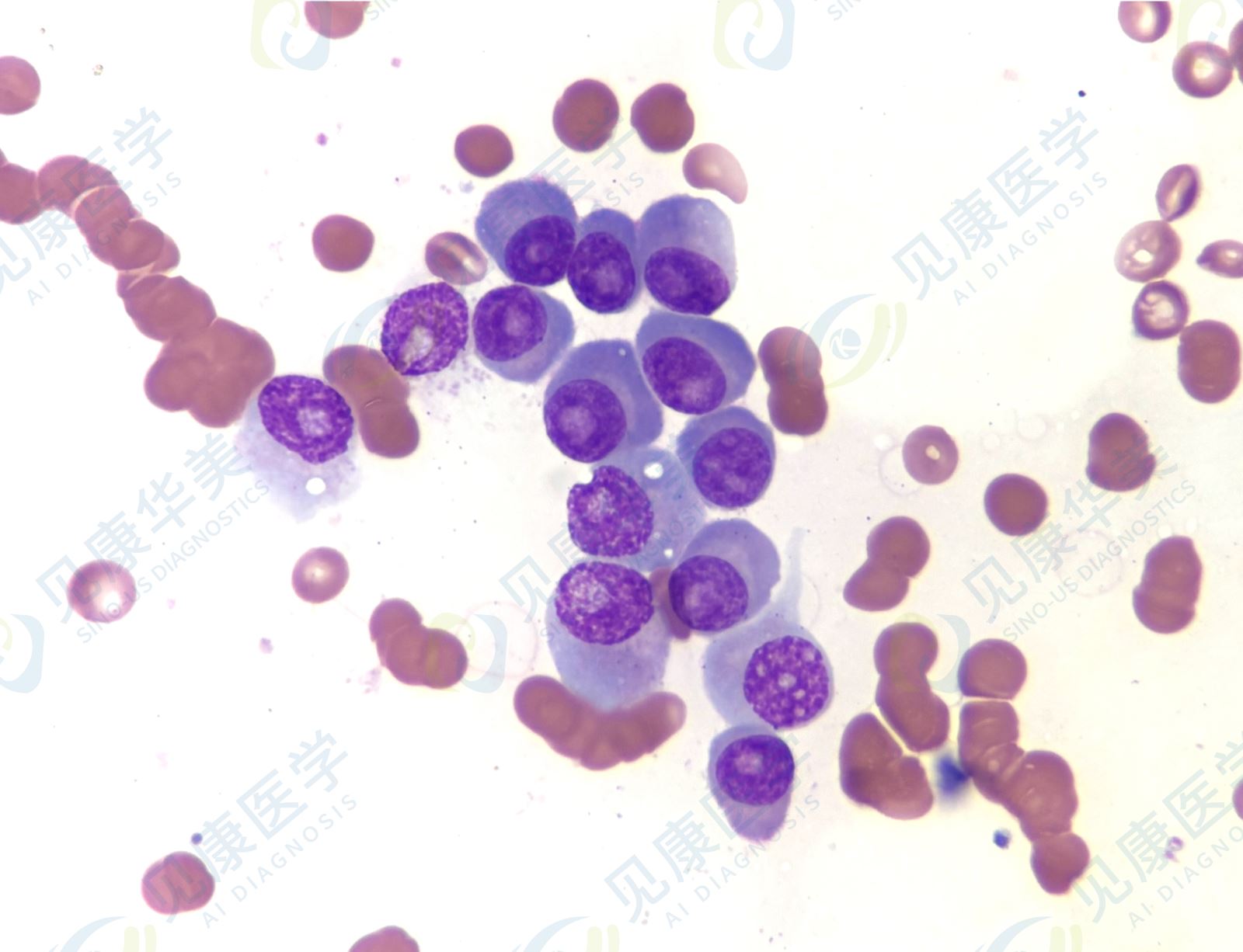
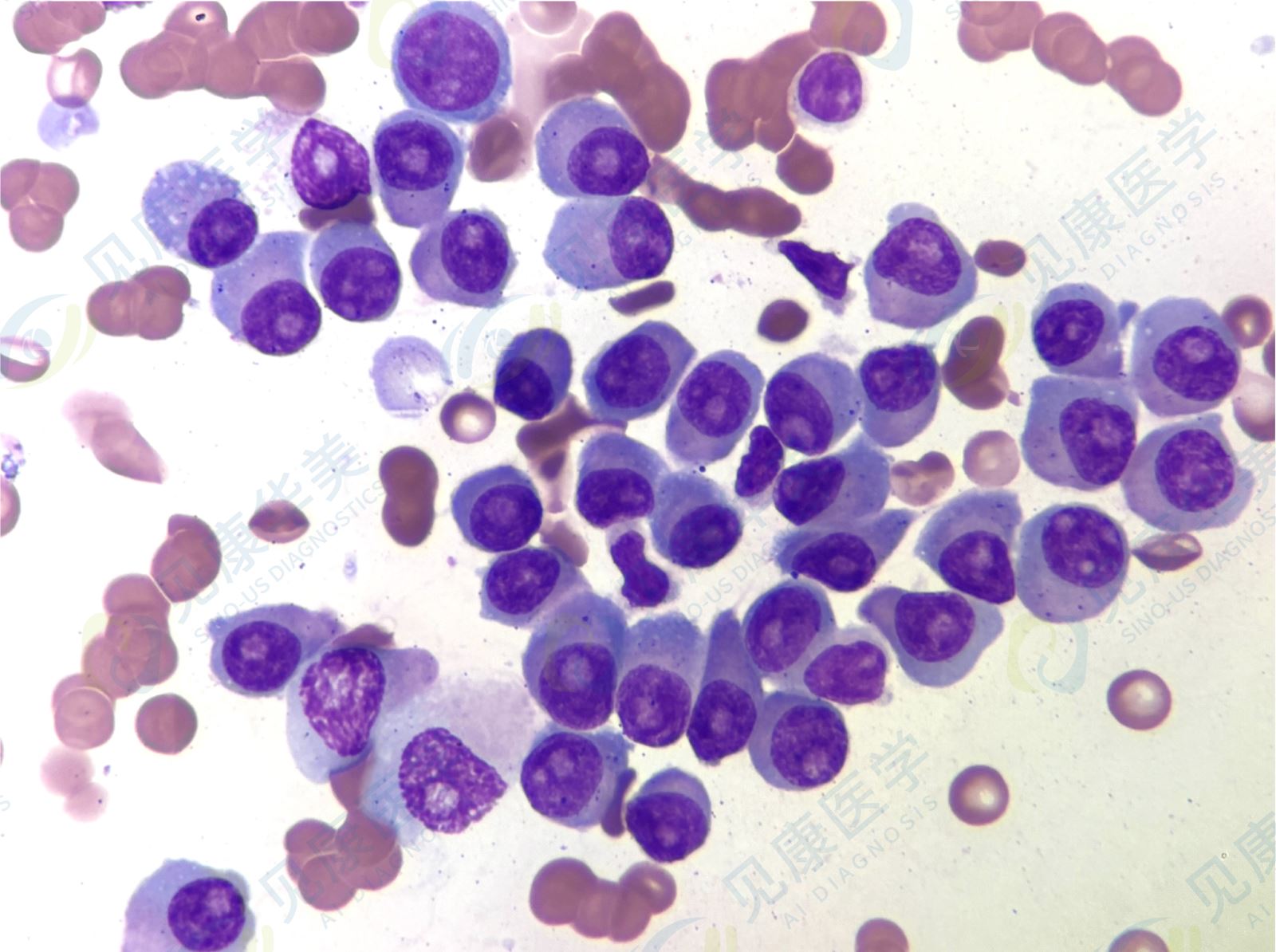
骨髓涂片

 

 

 

 

 

 

形态学

 

 

 

 

 

流式细胞学

 

 

 

 

免疫学

 

 

 

 

诊断结果

 

浆细胞白血病