【形态学病例分享】第一百二十二期

患者基本信息:

男,57岁, 发现全血细胞减少1天。

血常规:

WBC   1.60×109 /L

RBC    1.79×1012 /L  

HB      54 g/L 

PLT     73×109 /L  

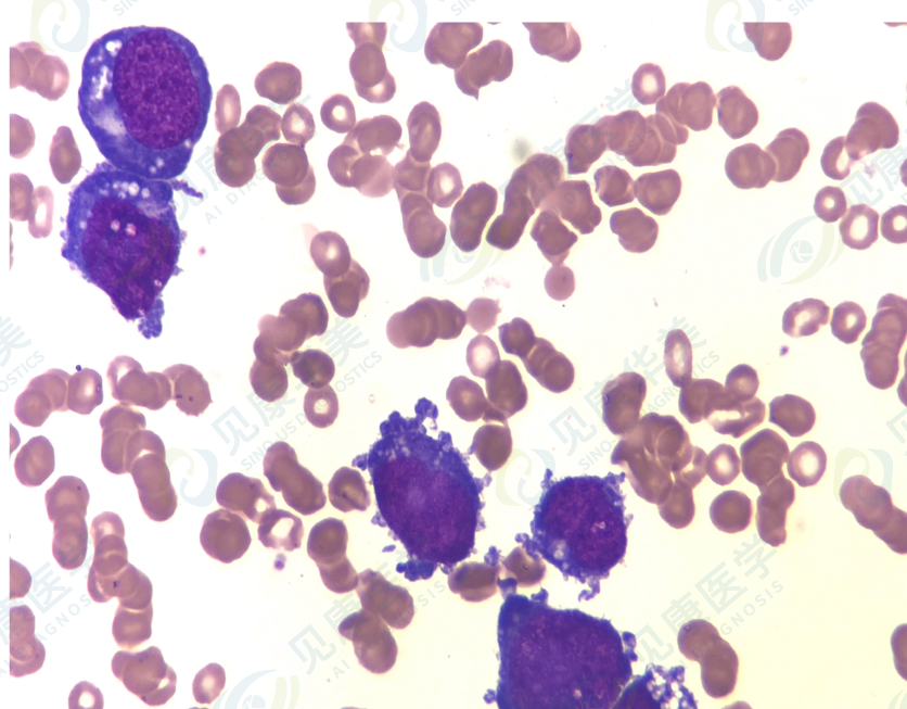
骨髓涂片中该类异常细胞约80%。

 

骨髓涂片

 

 

 

 

 

骨髓形态

 

 

 

巨核酶标

 

 

 

骨髓活检

 

因纤维化原因,骨髓组织中仅见少量大细胞,表达CD71,倾向为红系。

 

 

 

 

 诊断结果 

 

AML-M6

 

 

 

 

 

 

 

 

作者:田欣  王占龙   李凤丽

 

骨髓形态
骨髓形态