【形态学病例分享】第一百二十一期

患者基本信息:

女,70岁, 头晕乏力10余天。

血常规:

WBC     2.23×109 /L

RBC     1.64×1012 /L   

HB          55g/L  

plt      46×109 /L 

 

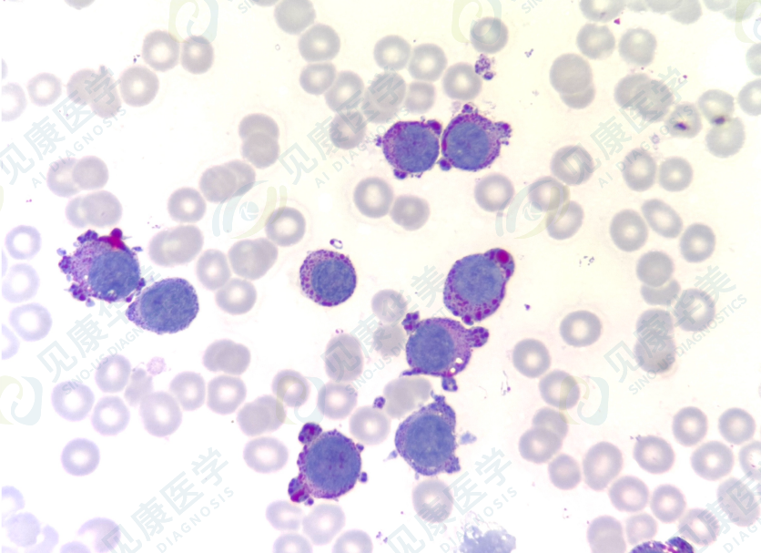
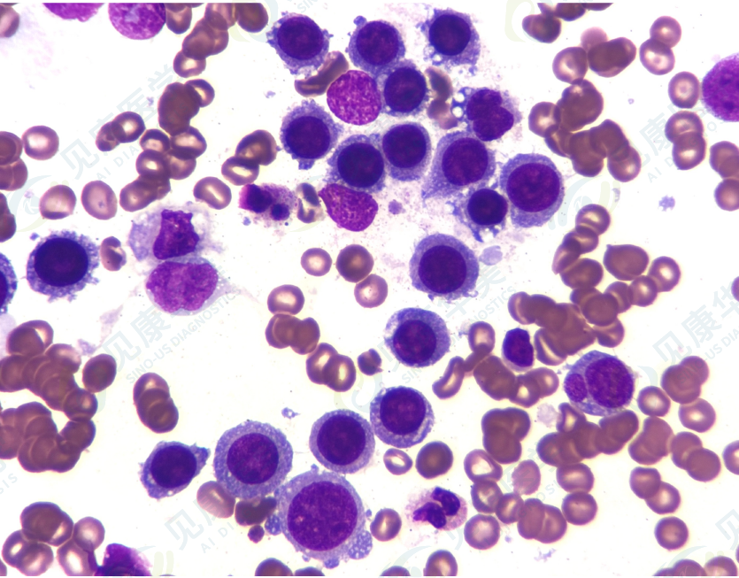
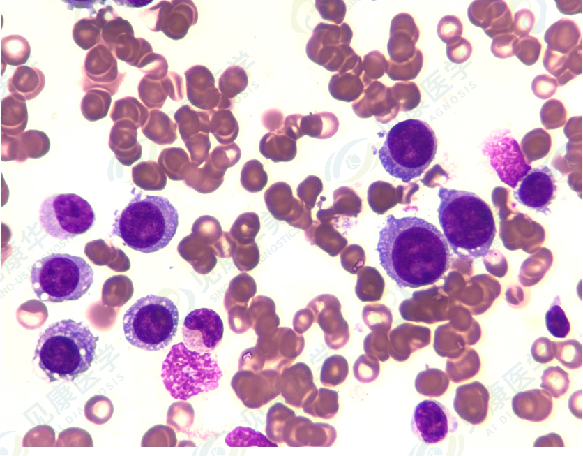
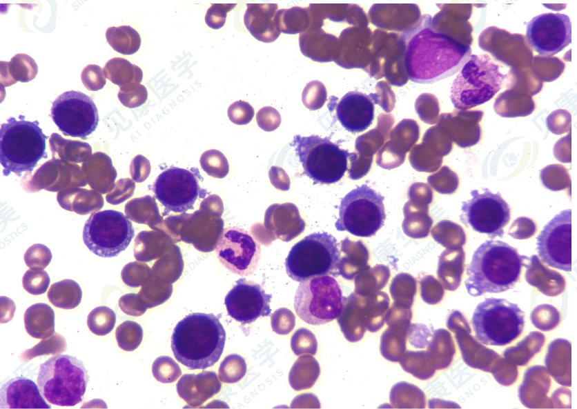
骨髓涂片 

 

 

PAS染色 

 

 

形态 

 

 

流式细胞学 

 

 

 

 

 

 诊断结果 

 

AML-M6

 

 

 

 

 

 

 

作者:田欣  侯晓巨