【形态学病例分享】第九十二期

患者基本信息:
女,58岁,诊断为ITP 7年,血小板减少治疗效果不佳 。
 
血常规:
WBC 21.8×109 /L
RBC  3.03×1012 /L  
HB    90g/L  
plt     30×109 /L  
MCV  95fl
 
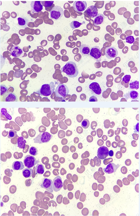
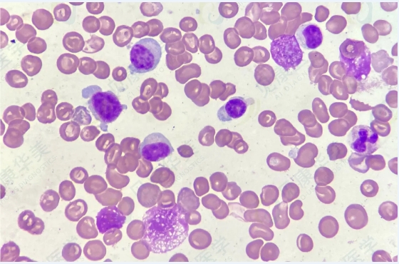
细胞形态学
 
 
骨髓异常细胞约36.5%,外周血约32%。
 
病理 
 
 
流式
 
 
 
免疫学
 
 
诊断结果
 
浆细胞白血病
 
     (备注:形态学因浆细胞不典型,偏位不明显,部分细胞划到淋巴细胞中,致浆细胞比例较流式少)
 
诊断结果
 
浆细胞白血病
     (备注:形态学因浆细胞不典型,偏位不明显,部分细胞划到淋巴细胞中,致浆细胞比例较流式少)