【形态学病例分享】第七十六期 
	患者基本信息:
	男,71岁, 既往贲门癌病史,目前全血细胞减少。
	 
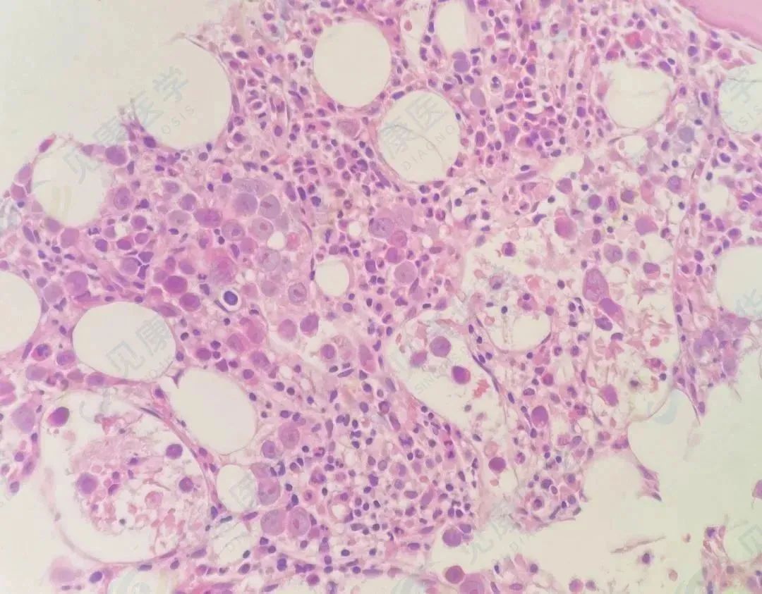
	病理HE染色
	 
	 
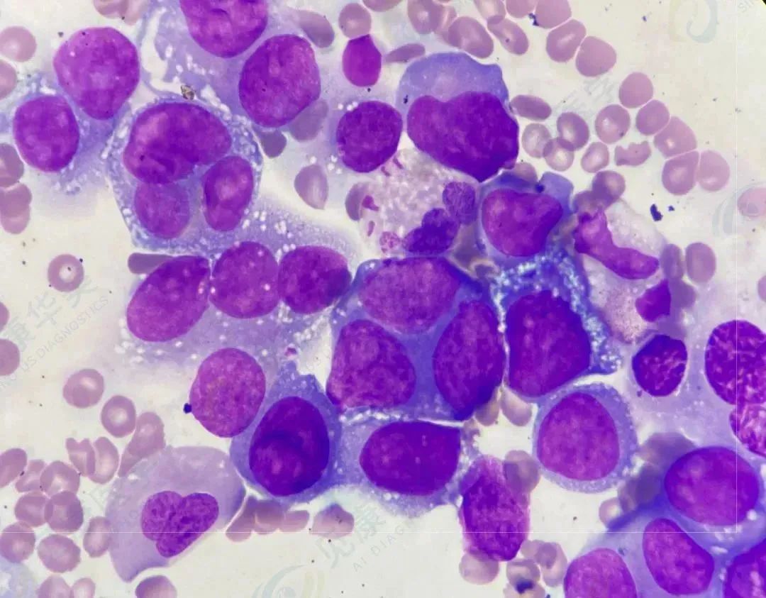
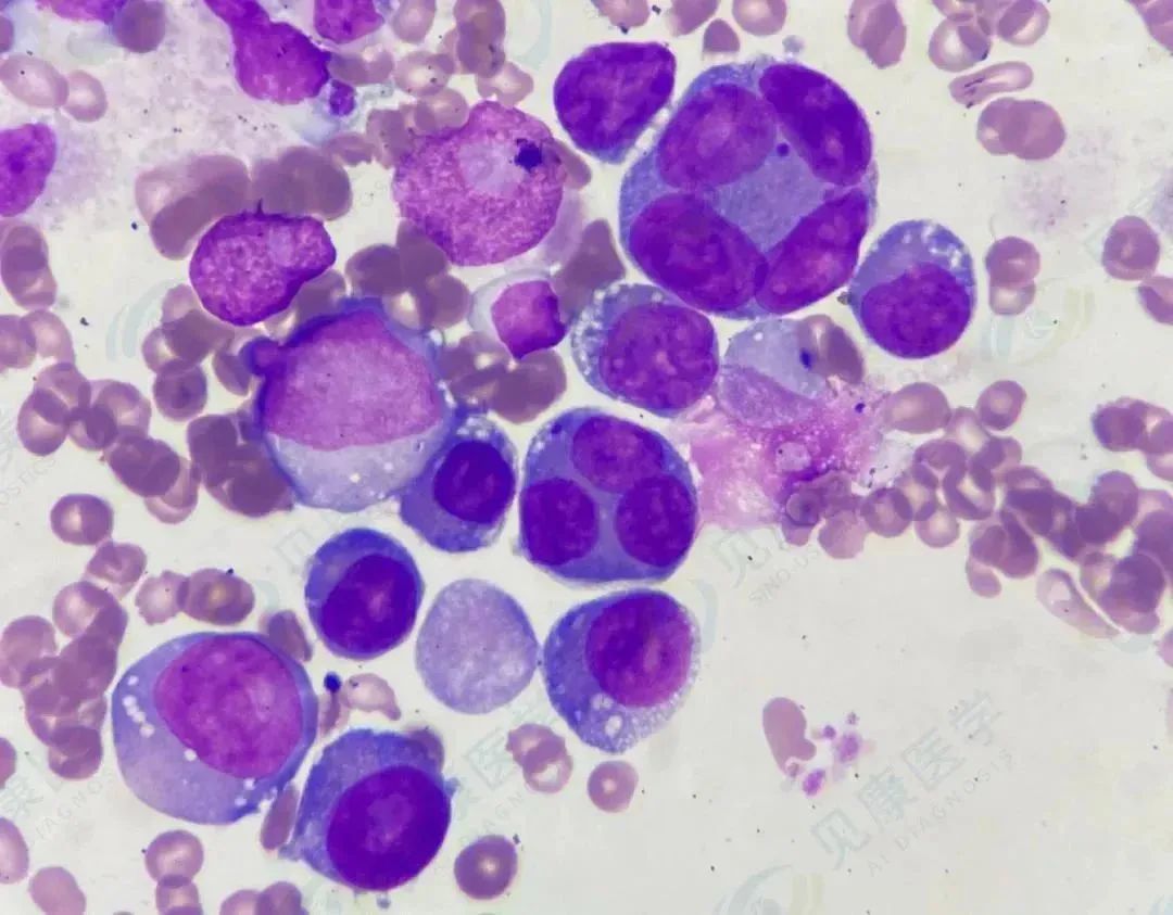
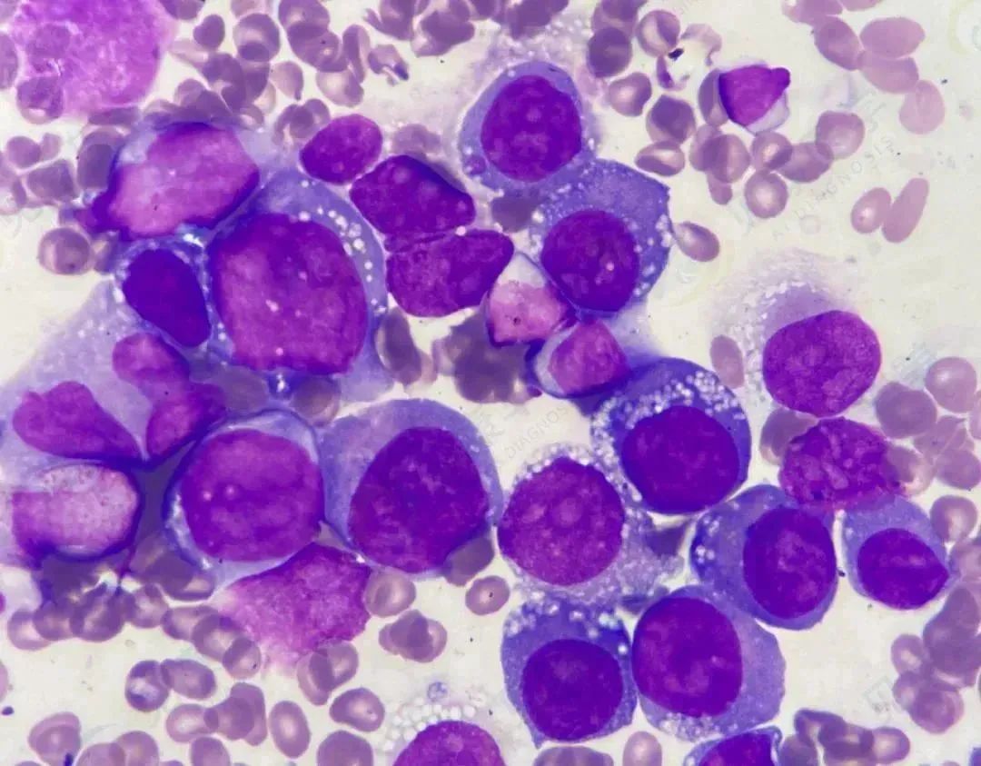
	细胞形态学
	 
	 
	 
	病理
	 
	 
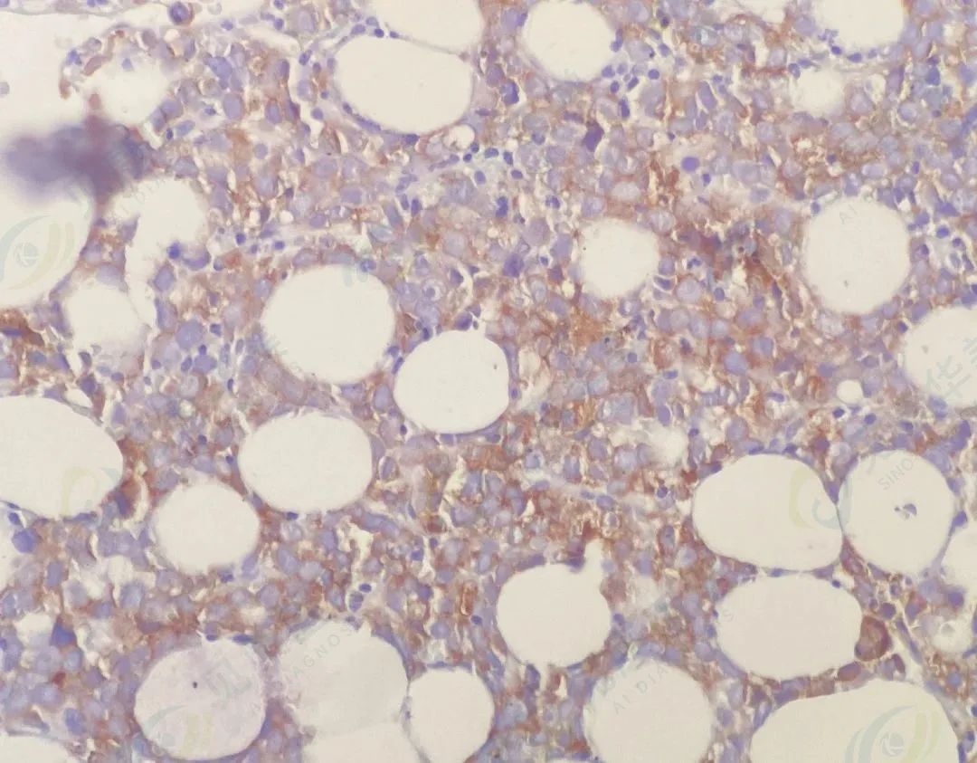
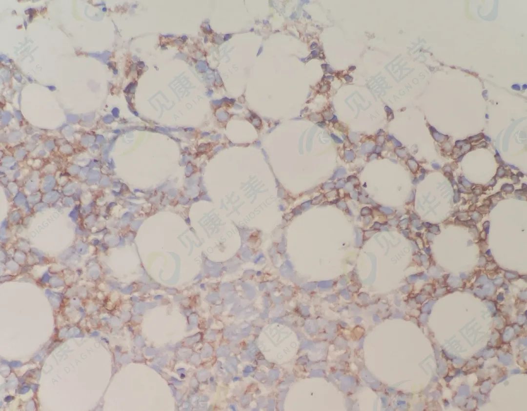
	加做免疫组化
	 
	 
	诊断结果
	 
	 
	
		考虑AML-M6
	
		 
	
		(异常细胞需鉴别原始红细胞、转移癌细胞及淋巴瘤细胞,病理免疫组化排除了转移癌、淋巴瘤,CD43+、E-cad+、CD71+支持为红系,骨髓细胞形态学示片尾区域红系超过80%,原始红为主,考虑AML-M6)
 
	
		考虑AML-M6
	
		 
	
		(异常细胞需鉴别原始红细胞、转移癌细胞及淋巴瘤细胞,病理免疫组化排除了转移癌、淋巴瘤,CD43+、E-cad+、CD71+支持为红系,骨髓细胞形态学示片尾区域红系超过80%,原始红为主,考虑AML-M6)