【华美讲堂】成熟T细胞白血病的诊断
成熟 T 细胞白血病(mature t cell leukemia,MTL)是一组以白血病形式起病的T细胞淋巴瘤,包括T幼淋巴细胞白血病 (T-PLL)、T大颗粒淋巴细胞白血病 (T-LGLL)、成人T细胞白血病/淋巴瘤 (ATLL)和Sézary综合征(SS)。本组疾病好发于老年人,男性相对多见,临床上具有异质性,病情复杂多样,可为惰性、无症状、进展缓慢,也可呈高度侵袭性、快速进展。MTL的病变以血液学异常为主,部分病例伴肝脾肿大、皮疹、淋巴结肿大。血液病理学检查是诊断此类疾病的关键,本文将对MTL的血液病理特点、诊断和鉴别诊断做一简要介绍。
一、T幼淋巴细胞白血病(T-PLL)
是一种侵袭性T细胞白血病, 小至中等大幼淋巴细胞增殖,侵犯外周血、骨髓、淋巴结、肝脾和皮肤。病人的中位年龄是65岁(30-94岁);但共济失调性毛细血管扩张症患者罹患T-PLL的风险增加,可以在20多岁发病。本病侵袭性强,起病急,白细胞计数迅速升高(>100×109/L),全身症状明显以及出现浆膜腔积液、腹水、水肿、眶周水肿和皮肤浸润。30%的病例病程为“惰性”,无上述症状,白细胞升高不明显,但通常2-3年后疾病发生进展、恶化,出现典型T-PLL表现,提示初诊时可能处于疾病早期或前期。
形态学
包括三种亚型:①经典型(75%):胞体小至中等大,胞质嗜碱,无颗粒,核圆形、卵圆或不规则,可见核仁。②小细胞型(25%):小细胞,光镜下不见核仁(通过电镜证实)。③脑回型(5%):核形态极不规则 ,脑回样。共同特征:胞质突起(小泡),具有诊断意义。
骨髓通常为弥漫性浸润。
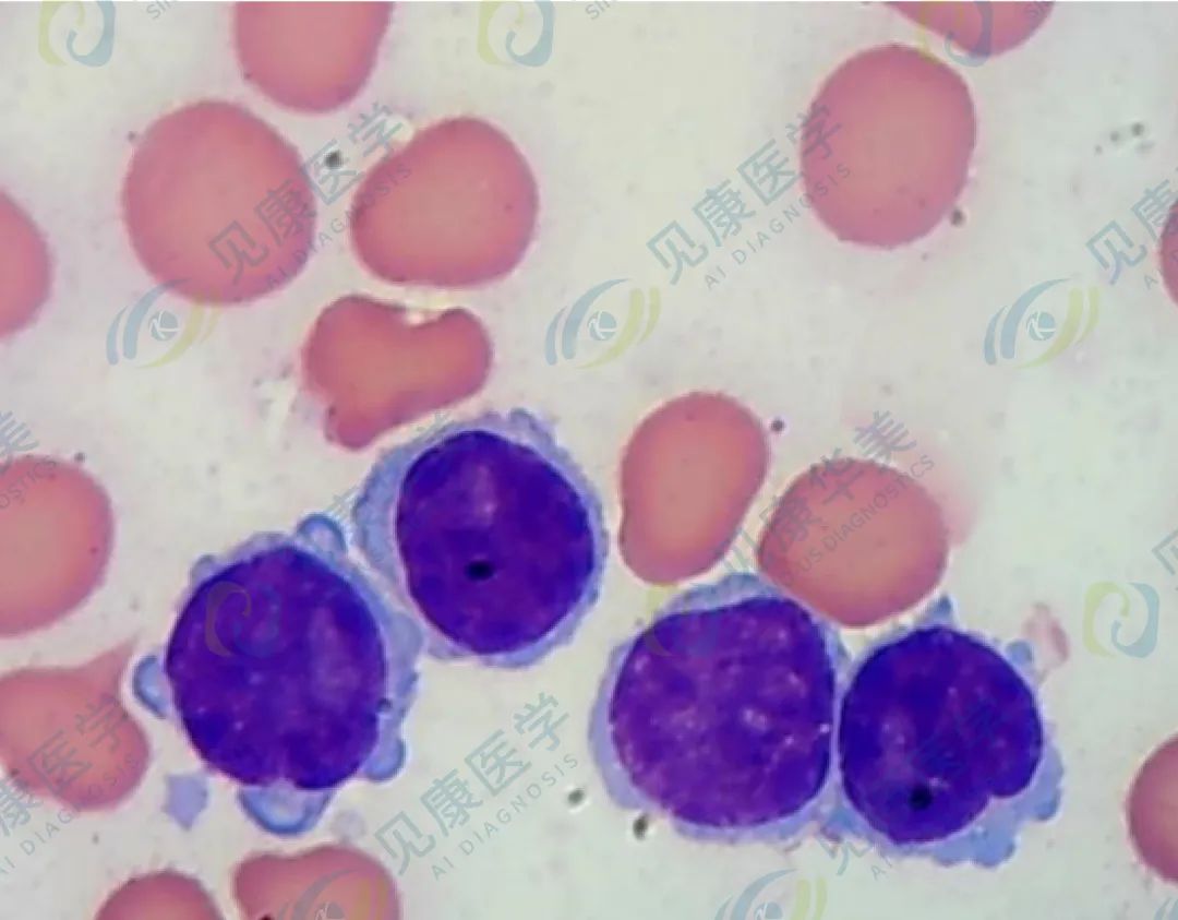
T-PLL的外周血涂片,典型特点为幼淋巴细胞形态,可见胞质突起。
.jpg)
免疫表型
胸腺后成熟T细胞表型,典型特点为:①不表达原始细胞标记,CD34-、TdT-、CD1a-;②通常无T细胞抗原的丢失,CD2+、CD3+、CD5+、CD7+;③通常TCL1+;④CD52通常强+,可作为阿仑单抗(Alemtuzumab)治疗靶点;⑤多表达CD4:其中CD4+/CD8-占60%,CD4+/CD8+占25%;CD4-/CD8+则占15%左右。CD4和CD8双表达时,强烈提示T-PLL。TCL1的表达可以通过流式细胞学或免疫组化方法,对于T-PLL亦有特异性。
细胞遗传学和分子生物学
最常见染色体异常为14q32/TCL1重排(>90%),inv(14)(q11q32)(80%)和t(14;14) (q11;q32)(10%)导致TCRα和TCL1A/B基因并置,t(X;14)(q28;q11)(10%)导致TCRα和MTCP1基因并置。TCL1和MTCP1为同源性,具有癌基因的属性,活化后可诱导T细胞白血病的发生。其他常见的染色体异常包括:8号染色体异常(70%-80%),如idic(8)、t(8;8)、+8q、Iso8q;复杂核型(69%);6号(33%)、17号(26%)染色体异常等。
基因异常主要包括:TCL1(90%)、MTCP1(10%)、ATM(69%)、JAK1(8%)、JAK3(30%-42%)、STAT5B(21%-36%)。
诊断
2022年WHO第五版淋巴造血肿瘤分类采用了下列诊断标准(表1):
诊断标准:3个主要标准全部满足,或满足前2个主要标准和1个次要标准(TCL1家族阴性T-PLL)
免疫表型
胸腺后成熟T细胞表型,典型特点为:①不表达原始细胞标记,CD34-、TdT-、CD1a-;②通常无T细胞抗原的丢失,CD2+、CD3+、CD5+、CD7+;③通常TCL1+;④CD52通常强+,可作为阿仑单抗(Alemtuzumab)治疗靶点;⑤多表达CD4:其中CD4+/CD8-占60%,CD4+/CD8+占25%;CD4-/CD8+则占15%左右。CD4和CD8双表达时,强烈提示T-PLL。TCL1的表达可以通过流式细胞学或免疫组化方法,对于T-PLL亦有特异性。
细胞遗传学和分子生物学
最常见染色体异常为14q32/TCL1重排(>90%),inv(14)(q11q32)(80%)和t(14;14) (q11;q32)(10%)导致TCRα和TCL1A/B基因并置,t(X;14)(q28;q11)(10%)导致TCRα和MTCP1基因并置。TCL1和MTCP1为同源性,具有癌基因的属性,活化后可诱导T细胞白血病的发生。其他常见的染色体异常包括:8号染色体异常(70%-80%),如idic(8)、t(8;8)、+8q、Iso8q;复杂核型(69%);6号(33%)、17号(26%)染色体异常等。
基因异常主要包括:TCL1(90%)、MTCP1(10%)、ATM(69%)、JAK1(8%)、JAK3(30%-42%)、STAT5B(21%-36%)。
诊断
2022年WHO第五版淋巴造血肿瘤分类采用了下列诊断标准(表1):
诊断标准:3个主要标准全部满足,或满足前2个主要标准和1个次要标准(TCL1家族阴性T-PLL)
表1 T-PLL的诊断标准
当检测到TCL1、MTCP1异常,诊断相对容易。对于少数TCL1家族阴性病例,应密切结合免疫表型、T-PLL特异受累部位以及遗传学异常等,排除外周T细胞淋巴瘤的白血病样改变后,方能诊断。
二、T大颗粒淋巴细胞白血病(T-LGLL)
T-LGLL是一种少见的成熟淋巴细胞白血病,特点为外周血中大颗粒淋巴细胞的持续增多(>6个月),通常为2×10 9/L-20×10 9/L,病因不明。
本病好发于老年人,就诊时中位年龄60岁(12-87岁),罕见发生于25岁以下。通常起病隐袭,病程进展缓慢。常表现为血细胞减少相关症状,最常见的是中性粒细胞减少(中性粒细胞绝对值?<1.8×10 9/L)和贫血,少数病例合并纯红再障(PRCA),血小板减少不常见。本病与自身免疫性疾病关系密切,约20%的患者合并类风湿关节炎。
形态学
正常情况下,外周血中大颗粒淋巴细胞(LGL)约占10%-15%,包括T-LGL和NK-LGL两种,以T-LGL为主(约占LGL的80%)。LGL特点为成熟淋巴细胞,胞浆丰富、淡染,含有嗜天青颗粒,胞核轻度不规则。白血病性LGL与正常或反应性LGL形态上难以区分。
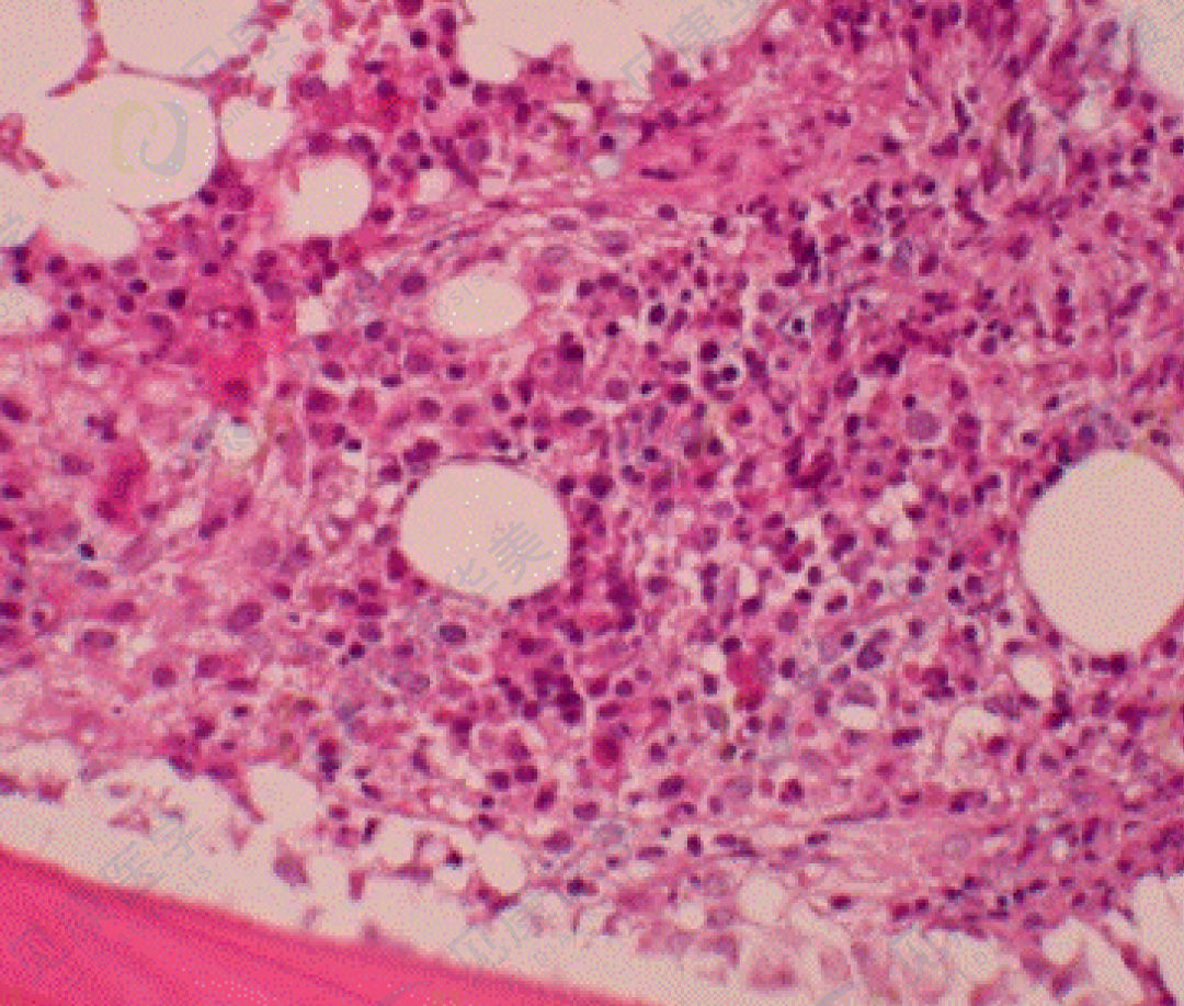
T-LGLL骨髓受累相对较轻,单靠形态学识别较为困难。骨髓活检中的LGL与正常淋巴细胞相似,为小淋巴细胞。由于标本制备过程中组织收缩(制备后骨髓活检组织收缩约20%),切片中淋巴细胞胞浆极少或见不到胞浆,无法观察嗜天青颗粒。T-LGLL的骨髓活检典型表现为淋巴细胞的窦内分布,串珠或列兵样排列,伴有反应性淋巴细胞灶(CD4+细胞为主)。
LGL的识别主要通过外周血涂片,外周血较骨髓受累明显且更利于观察胞浆中的嗜天青颗粒。骨髓活检中的小淋巴细胞(CD8+细胞毒性T细胞)窦内浸润,伴反应性淋巴细胞灶对于诊断有提示意义。少数T-LGLL病例可合并PRCA,对于具有PRCA表现者(贫血、骨髓中粒系和巨核系细胞增生而红系细胞缺乏),应密切关注外周血和骨髓中的LGL,除外T-LGLL合并PRCA的可能。
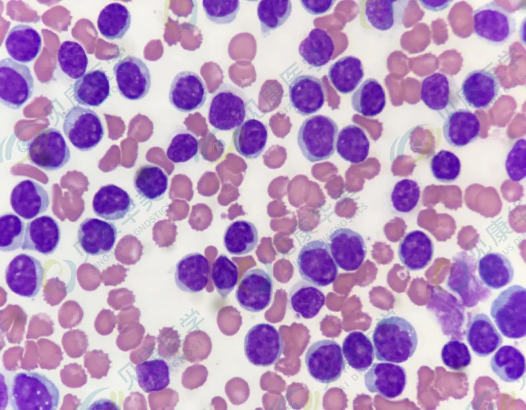
外周血涂片,LGL胞浆丰富、淡染、含有嗜天青颗粒
骨髓活检切片,T-LGLL呈间质型分布,可见窦内浸润(免疫组化CD3染色)。
免疫表型
典型表型为表达CD8+细胞毒性T细胞标记,CD2+、CD3+、CD8+、细胞毒蛋白+、TCRαβ+,>80%病例CD5和CD7表达减弱或缺失。NK细胞相关标记CD57+(90%)、CD16+(80%),但不具特异性,少数病例CD56+(<20%)。罕见表型包括:①TCRαβ+、CD4+、CD8-;②TCRαβ+ 、CD4+、 CD8+ ;③TCRαβ+、CD4-、CD8-;④TCRγδ+ 、CD4-/+ 、CD8+/-。
免疫表型的异常对于反应性和肿瘤性LGL的鉴别具有提示意义,一致性表达(>75%的细胞阳性)NK细胞相关标记CD16或CD57,对于T-LGLL的诊断具有重要提示意义。应注意反应性LGL可出现CD5和CD7的表达减弱或缺失,不能通过CD5和CD7的表达降低区分良恶性。
由于肿瘤细胞可表达NK细胞标记和TCRγδ,应注意与慢性NK细胞淋巴增殖性疾病、侵袭性NK细胞白血病、肝脾T细胞淋巴瘤鉴别。
通过流式细胞学TRBC1、TCR-Vβ亚群检测可确定T细胞的克隆性。
细胞遗传学和分子生物学
无特征性细胞遗传学异常。STAT3(约1/3)和STAT5B(<5%)作为T-LGLL中的重现性基因突变,可能会对诊断有所帮助,但不特异。STAT3基因突变常见于CD8+ T-LGLL和γ/δT-LGLL,常表现为症状性疾病(贫血、中心粒细胞减少)。STAT5B突变主要见于惰性的CD4+ T-LGLL(30%), 罕见于CD8+T-LGLL和γ/δ T-LGLL。伴有STAT5B基因突变的CD8+ T-LGLL病程具有侵袭性,但对CD4 + T-LGLL和γ/δ T-LGLL预后没有影响。
诊断
WHO(2016)关于T- LGLL定义为:外周血大颗粒淋巴细胞(LGL)持续(> 6个月)增多,通常为2×10 9/L-20×10 9/L,病因不明。少数情况下,若满足T-LGLL的诊断标准,即便LGL数量<2×10 9/L,诊断依然成立。
参照《血液病理学第2版》诊断标准,T-LGLL的诊断需满足≥3个主要标准或≥2个主要标准外加≥2个次要标准(表2)。
表2 T-LGLL的诊断标准
对于外周血克隆性T-LGL增生,在排除感染、免疫等其他病因后方可考虑本病。诊断应结合临床表现、形态、免疫表型和分子生物学检查才能确定,应特别注意与以下疾病鉴别:①反应性或克隆性LGL增生。见于病毒感染、自身免疫性疾病、切脾、药物、造血干细胞移植后、CML和pH+ALL达沙替尼治疗后、AA、MDS、PCN和淋巴瘤等,可伴有反应性或克隆性LGL增生,若外周血和骨髓存在克隆性T-LGL,但不符合T-LGLL诊断标准,无明显病因,文献中称为“意义未明的克隆性T细胞增生(TCUS)”,应密切随查。②少数病例表型不典型,诊断具有挑战性。如γδT-LGLL需要与肝脾T细胞淋巴瘤(HSTL)鉴别,应结合临床特点和形态学、免疫表型、遗传学等仔细鉴别。③罕见T-LGLL病例淋巴结病变明显,单靠淋巴结活检可能会误诊为PTCL,NOS,应结合外周血和骨髓检查明确诊断。
三、成人T细胞白血病/淋巴瘤(ATLL)
由I型人类T细胞白血病病毒(HTLV-1)引发的CD4+T细胞(辅助T细胞)肿瘤。发生于成年人,平均年龄58岁。发病具有地域性,日本南部、加勒比海岛、我国福建省东部多见。
包括4种临床亚型:急性、慢性、淋巴瘤样、闷燃型,最常见为急性型。除淋巴瘤样型外,其余三种类型均可累及外周血。急性型特点为白血病样表现,常伴显著的白细胞升高、嗜酸粒细胞增多、皮疹、多发淋巴结肿大、肝脾肿大、LDH升高以及高钙血症(伴或不伴骨破坏)。部分惰性ATLL可仅有白血病样表现,无其它症状。
形态学
肿瘤细胞呈多样性,可表现为多形性小细胞、中等大细胞、大细胞和间变型多种形态特点。典型的形态为胞体中等至大的细胞,核扭曲或分叶,“花细胞”(核呈多叶状)具有特征性。骨髓侵犯不明显,侵犯程度与外周血肿瘤细胞的负荷之间不成比例(外周血肿瘤细胞募集自其他器官,如皮肤)。
ATLL外周血涂片中的“花细胞”
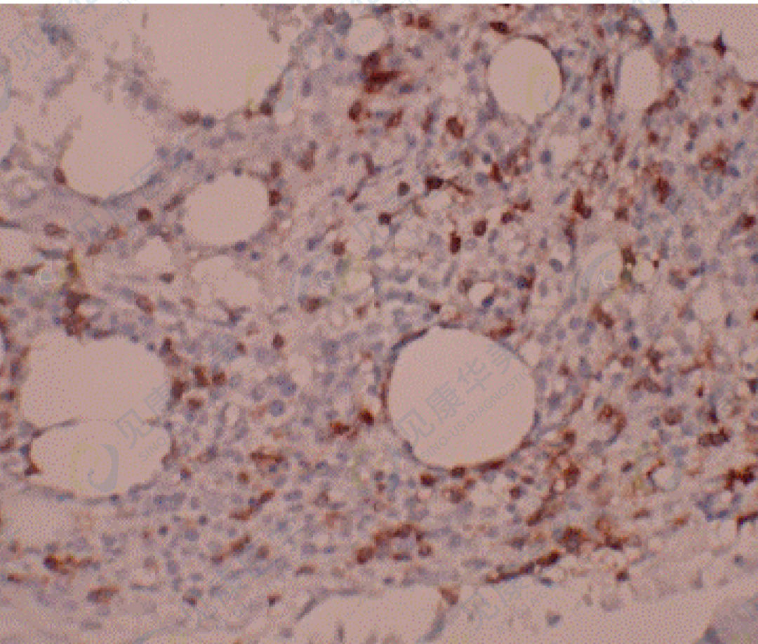
ATLL骨髓活检中少量肿瘤细胞浸润(免疫组化CD3染色)
免疫表型
表达成熟T细胞标记,通常CD3+、CD2+、CD5+、CD4+、CD25+、CD52+、CCR4+,部分病例FOXP3+,CD30+ (大细胞),CD7-、CD8-、 ALK-,不表达细胞毒分子。少数病例CD4-/ CD8+、CD4+/ CD8+或CD4-/ CD8-。
细胞遗传学和分子生物学
ATLL的基因改变很复杂,基因突变常涉及TCR/NF-κB 通路和免疫逃逸,常见突变基因是PLCG1,PRKCB,VAV1,IRF4,FYN,CARD11和STAT3。基因突变频率取决于ATLL的亚型,侵袭性亚型具有更多的遗传学异常,而STAT3突变在惰性亚型中更常见。
诊断
对T细胞淋巴瘤,尤其是CD4阳性T细胞淋巴瘤,应常规进行CD25染色并进行全面的免疫表型检测,密切关注外周血和骨髓表现(“花细胞”具有提示意义),同时进行HTLV检测(包括HTLV-1抗体和HTLV-1前病毒基因,后者是诊断的最可靠指标,能够证实病毒整合至肿瘤细胞)。
四、Sézary综合征(SS)
SS是具有白血病样表现的皮肤T细胞淋巴瘤,曾被认识是蕈样霉菌病(MF)的白血病变型,现已确认MF和SS为各自独立疾病;肿瘤细胞来源于循环中心记忆性T细胞(CD27+、CD45RA-、CD45RO+)。
通常见于老年人(60岁以上)。典型表现为红皮病、多发淋巴结肿大、外周血出现脑回型核Sézary细胞(三联征)。SS与MF在形态学和免疫表型方面具有诸多重叠之处,但其病情进展迅速,病史通常很短。
形态学
外周血中的Sézary细胞通常呈脑回型核,细胞核增大,扭曲、凹陷。骨髓可受累及,通常侵犯程度较轻,间质型分布。
免疫表型
通常CD3+、CD2+、CD5+、CD7-、CD4+、CD8-、PD1+、CD26-。罕见表型为其他T细胞抗原的丢失,CD4-/CD8+或CD4+/CD8+。
细胞遗传学和分子生物学
细胞遗传学为非特异性,基因组的改变较为复杂,常见异常包括TP53和ARID1A基因缺失、染色体碎裂以及信号通路分子(CARD11、CCR4、PLCG1、BRAF、MAKP1、JAK、STAT)、表观遗传学调控因子(ARID1A、ZEB1、DNMT3A、TET2、CREBBP、KMT2D)和肿瘤抑制因子(CDKN2A、TP53)相关的基因突变。
诊断
在结合临床病史的基础上,对所有标本(皮肤、外周血和淋巴结)进行分析,以明确诊断。皮肤的组织学变化可能非特异,与许多炎性皮肤病和MF的鉴别可能存在困难。外周血的免疫表型分析对于本病的诊断至关重要,以下一项或多项是外周血受累的证据:
①Sézary细胞≥1.0×109/L;②CD4:CD8≥10;③一个或多个T细胞抗原的丢失(CD7-、CD26-)。
五、总结
成熟T细胞白血病通常具有典型的临床、实验室和血液病理学特征(表3),诊断时需要进行完善的血液学检查,通过形态学、免疫表型、细胞遗传学和分子生物学检查,对T细胞进行全面分析。
本组疾病异质性强,临床与病理学表现复杂,诊断时尤其注意与感染、免疫等引起的克隆性T细胞增生、意义未明的克隆性T细胞增生(TCUS)和其他类型T/NK细胞淋巴瘤的白血病样改变进行鉴别。除外周血和骨髓检查外,还应尽可能进行髓外肿物(包括淋巴结、皮肤等)活检,在密切结合临床、实验室和影像学等检查的基础上做出正确诊断。
表3 成熟T细胞白血病的主要特征与鉴别要点
.jpg)
参考文献:
1. Alaggio R, Amador C, Anagnostopoulos I,et al. The 5th edition of the World Health Organization classification of haematolymphoid tumours: lymphoid neoplasms. Leukemia. 2022, 36(7): 1720-1748. doi: 10.1038/s41375-022-01620-2.
2.Swerdlow SH, Campo E, Harris NL, et al.,eds. WHO Classification of Tumours of Haematopoietic and Lymphoid Tissues. Revised 4th ed. Lyon, France: IARC Press; 2017.
3.Jaffe ES,Arber DA,Campo E,et al.Hematopathology 2nd.Elsevier,2017,p599-608.
4. Staber PB, Herling M, Bellido M,et al. Consensus criteria for diagnosis, staging, and treatment response assessment of T-cell prolymphocytic leukemia.Blood 2019,3;134(14):1132-1143.doi: 10.1182/blood.2019000402.
5.El-Sharkawi D, Attygalle A, Dearden C. Mature T-cell leukemias: challenges in diagnosis。Front Oncol,2022,9;12:777066. doi: 10.3389/fonc.2022.777066.
6. Bailey NG, Elenitoba-Johnson KSJ.What is new in mature T-cell leukemias? Semin Diagn Pathol.2020,37(1):72-78.doi: 10.1053/j.semdp.2019.12.001.
6. 李晓艳,李凤丽,李慧兰等. 成年人T 细胞白血病/淋巴瘤2 例并文献复习.白血病·淋巴瘤,2022,31(12)749-751.