【形态学病例分享】第九期

患者基本信息: 女,46岁。
WBC 4.7×109 /L      HB  88 g/L
 
RBC  2.4×1012 /L    PLT 36×109 /L
WBC 4.7×109 /L      HB  88 g/L 
     RBC  2.4×1012 /L    PLT 36×109 /L
 
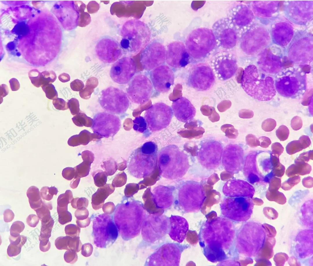
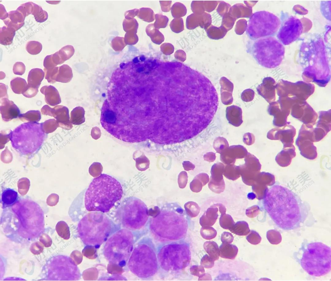
形态涂片
 
 
 
 
诊断结果
 
恶性黑色素瘤骨髓侵犯
 
作者:田欣 王占龙
 
协和华美原创文章未经授权不得转载,如需转载请联系jingyuliu@sino-us-diagnostics.com
WBC 4.7×109 /L      HB  88 g/L
 
RBC  2.4×1012 /L    PLT 36×109 /L
RBC  2.4×1012 /L    PLT 36×109 /L患者基本信息
 
女,46岁。
 
WBC 4.7×109 /L      HB  88 g/L
 
RBC  2.4×1012 /L    PLT 36×109 /L