【形态学病例分享】第八期

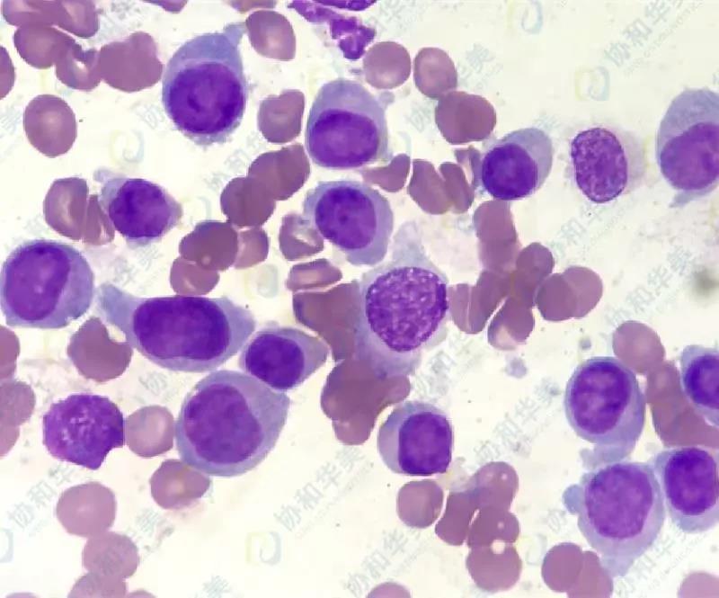
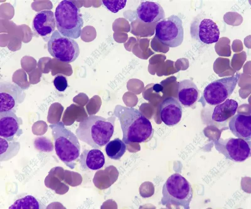
形态涂片 

  

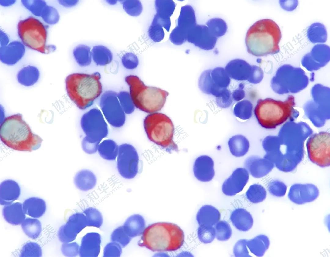
 MPO染色

 细胞化学

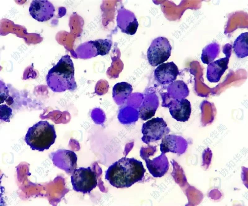
NAE

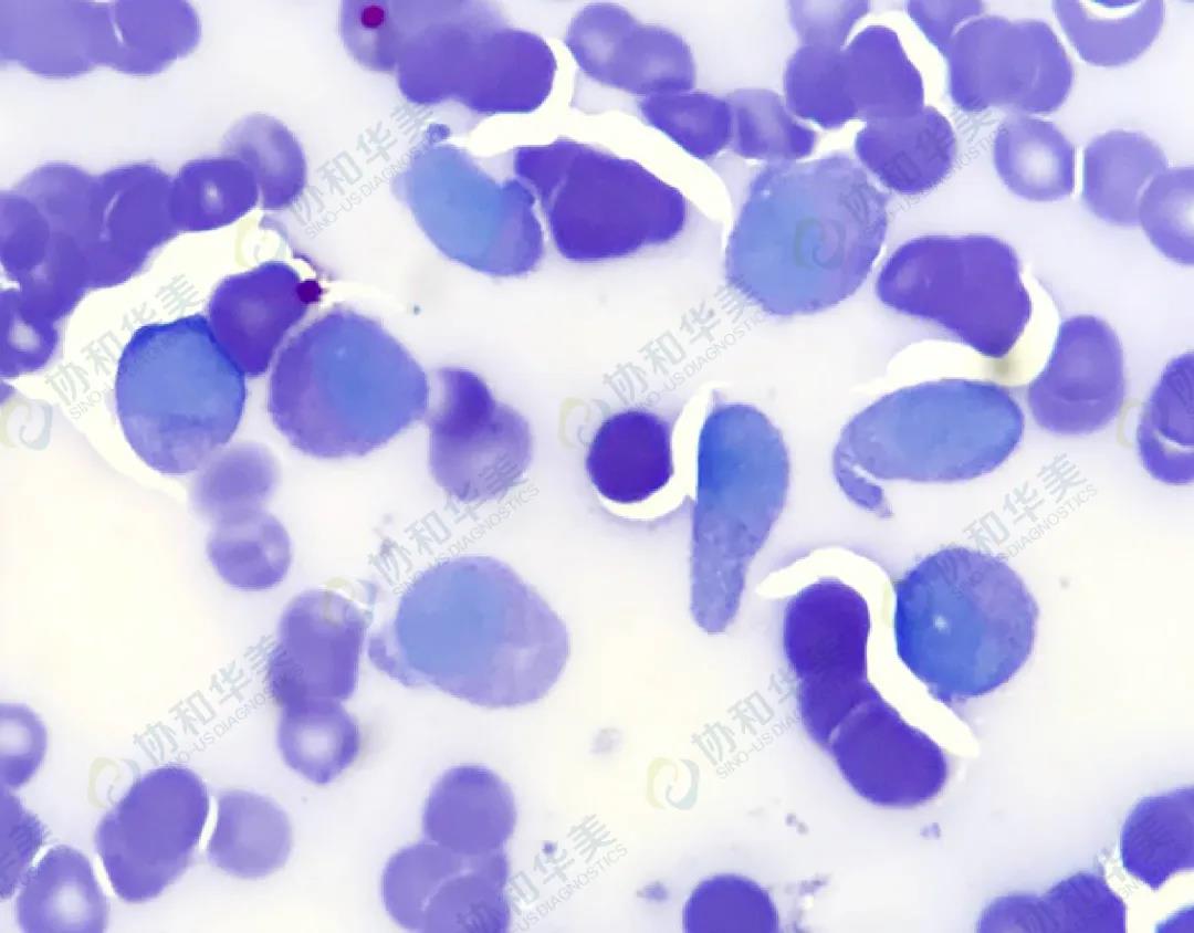
NAE+NaF

 诊断报告

【诊断结果】
 

急性单核细胞白血病

 

作者:王占龙 陈雪晶 

协和华美原创文章未经授权不得转载,如需转载请联系jingyuliu@sino-us-diagnostics.com