典型病例分析|BCL2+/BCL6+/MYC+ 的三打击淋巴瘤一例
【典型病例分析】:
BCL2+/BCL6+/MYC+ 的三打击淋巴瘤一例
【病史】:
患者,男,41岁。2015年3月发现颈部、胸部、上腹部及左侧额面部巨大肿块,骨腮腺肿物穿刺活检病理:送检腮腺组织中见小圆恶性肿瘤细胞浸润,细胞形态一致,胞浆稀少,核圆形或稍不规则形,染色质细腻,核仁不明显,核分裂像易见,诊断为高侵袭性B细胞淋巴瘤 ,较倾向于B淋巴母细胞淋巴瘤/白血病,经化疗方案治疗,未达缓解,疗效不佳。2016年5月开始发热、咳嗽、体温最高达40.3℃。伴全身乏力,后入院进行进一步诊治,并来我单位进一步确诊。
【辅助检查】:
血常规提示粒细胞缺乏(中性粒细胞绝对值低于0.5X10^9/L)。
【骨髓细胞学】:
大致正常骨髓象。
【免疫组化】:
原单位免疫组化:CD20+,PAX5+,CD79a+,CD7-,LCA弱+,CD43弱+,CD99+,CD34-,TDT-,CD10+,CyclinD1-,BCL-2+,BCL-6+,Ki67阳性率80%-90%,CK腺上皮+。
我单位免疫组化:CD34-,TdT-,CD99少数+,CD79a+,CD20+,CD3-,MUM-1+,CD117-,CD33-,CD21-。
【病理活检】:
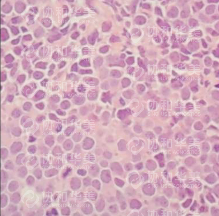
(腮腺穿刺组织)弥漫大B细胞淋巴瘤:镜下见一类细胞弥漫增生,胞体大,胞浆中等,胞核圆形或不规则,核染色质偏细致,可见核仁,核分裂易见,并见少量脂肪及涎腺组织,其间可见异型细胞浸润。

.jpg)
【FISH】
MYC、BCL2、BCL6重排均阳性,P53基因缺失阴性。
临床最终诊断: 三打击淋巴瘤。
弥漫大B细胞淋巴瘤(DLBCL)是最常见的非霍奇金淋巴瘤(NHL)之一,是目前发病率增长速度最快的恶性肿瘤。我国的DLBCL占所有NHL的45.8%,占所有淋巴瘤的40.1%,DLBCL可发生于任何年龄,但以老年人多见,中位发病年龄为60~64岁,男性多于女性。遗传学研究结果显示,>80%的DLBCL有染色体的异常,其中最常见的涉及q27(BCL6)、18q21(BCL2)和8q24(MYC)的基因重排及扩增。
淋巴母细胞淋巴瘤属于高度恶性淋巴瘤,进展快、死亡率高。WHO分类根据免疫表型将淋巴母细胞淋巴瘤分为前体T淋巴母细胞淋巴瘤和前体B淋巴母细胞淋巴瘤,其中B淋巴母细胞淋巴瘤约占20%。B淋巴母细胞淋巴瘤是一种定向于B细胞系的前体淋巴细胞(淋巴母细胞)的肿瘤,发病时常以皮肤结节(50%)和骨髓侵犯(64%)为首发的临床表现。病理学典型表现为由小至中等大小的母细胞组成,母细胞胞质稀少,染色质密度中等至稀疏,核仁不明显,累及骨髓和外周血。
淋巴母细胞淋巴瘤与伯基特淋巴瘤相鉴别:两者均为高侵袭性淋巴瘤,均为B细胞来源,病理形态学上均可发现核分裂明显,有“星空”现象。B淋巴母细胞淋巴瘤是B细胞早期的肿瘤,免疫组化显示肿瘤细胞的末端脱氧核酸转移酶(TdT)阳性,细胞表面免疫球蛋白(SIg)阴性。而伯基特淋巴瘤是B细胞发育后期的肿瘤,TdT阴性,SIg阳性。
【分析】 此病例外院诊断为B淋巴母细胞淋巴瘤,我院病理活检诊断为DLBCL,经FISH检测MYC、BCL-2、BCL-6基因重排均阳性,根据2016 NCCN指南定义双打击淋巴瘤(DHL)或三打击型淋巴瘤(THL)为:由染色体或FISH技术检测淋巴瘤细胞有C-MYC基因易位,同时伴BCL-2基因易位或/和BCL6基因易位,从而又确诊该患者为三打击淋巴瘤。
临床上诊断淋巴瘤的主要依据是病理活检、免疫组化及流式结果,然而双打击或三打击淋巴瘤其形态并无明确的特征性表现,2008年WHO对其的解释为“介于弥漫性大B细胞淋巴瘤(DLBCL)和伯基特淋巴瘤之间未分类的淋巴瘤”,病理表现具有DLBCL及伯基特淋巴瘤相似的部分性质,但独立于这两种淋巴瘤,预后极差。介于DLBCL和伯基特淋巴瘤之间的淋巴瘤的DHL发病率为33%-49%,所以目前通过病理形态学上的检查是无法确定其是否为双打击或三打击淋巴瘤,需要通过MYC、BCL6和BCL2的FISH检测来确诊DHL或THL。免疫组化(IHC)是在蛋白水平上的检测,用其检测C-MYC、BCL-2/BCL-6表达,当两者均为阳性时,我们称之为“double-expression”即“双表达”。C-MYC、BCL2、BCL6三种蛋白在正常细胞上也会有表达,所以免疫组织化学检查C-MYC、BCL2、BCL6阳性不能据此诊断为双打击或三打击淋巴瘤。淋巴瘤细胞上BCL-2、BCL-6蛋白高表达者预后也不太好,但不如DHL/THL淋巴瘤差。综上,DHL/THL病理形态及免疫表型多样,病理形态及免疫组化无法诊断DHL/THL,依靠FISH技术进行确诊。并且FISH检测标本广泛,可以是骨髓标本、冰冻切片或石蜡组织切片,该病例FISH所用的为患者免疫组化检测后的片子,经脱胶、脱色、消化杂交后进行检测。
DHL VS THL


资料显示DHL患者预后极差,平均生存期为0.5-1.5年,THL患者的总生存期(OS)明显缩短,仅有4个月。治疗方案大体上可以分为治疗DLBCLD的R-CHOP/CHOP类似方案以及治疗伯基特淋巴瘤的短周期、高剂量化疗方案联合或不联合造血干细胞移植等。R-CHOP及CHOP方案作为DLBCL一线治疗方案,有较好的疗效,但在DHL治疗中效果并不理想。有文献报道在使用R-CHOP方案治疗后,非DHL病例初治完全缓解(CR)率为93.2%,DHL的初治CR率仅为40.0%。以往的观察中发现,FISH技术检查出淋巴瘤细胞具有C-MYC扩增,或伴BCL2或/和BCL6扩增的预后也很不好,治疗中应注意监测疗效,及时更换治疗方案或策略。